神经系统解剖图
神经系统由中枢部分及其外周部分所组成。
中枢部分包括脑和脊髓,分别位于颅腔和椎管内,两者在结构和功能上紧密联系,组成中枢神经系统。
神经系统是由脑、脊髓、脑神经、脊神经、植物性神经,以及各种神经节组成。能协调体内各器官、各系统的活动,使之成为完整的一体,并与外界环境发生相互作用。
颅骨
脑部
脑干
脑室系统
大脑供血动脉3D扫描CT成像
磁共振成像&人脑模型对比
人脑区域图
神经分布图
小脑皮质结构
小脑
脑岛
基底核
海马和穹窿
hippocampus:海马
各种剖面图
对颅神经各自对应的脑区
形象记忆交感神经与副交感神经系统
几种常见致死性脑病的CT表现
脑损伤
不同部位脑病的瞳孔变化
常见的作用于中枢神经系统的药品
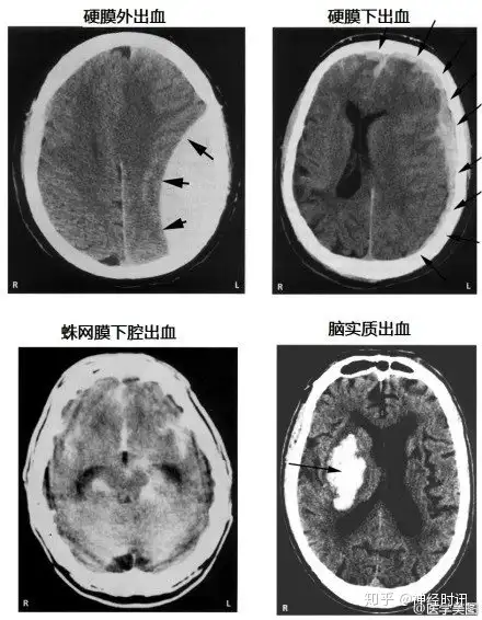
各种颅内出血
几种类型脑出血的CT表现
急性颅内高压所致脑疝的分型
颅顶层次
面神经—— 一巴掌就能记住
脑脊液循环
神经病变时瞳孔对光的反射
动眼神经、滑车神经和外展神经损伤的鉴别
头痛困扰,你属于哪一种
脊柱
外周部分包括12对脑神经和31对脊神经,它们组成外周神经系统。外周神经分布于全身,把脑和脊髓与全身其他器官联系起来,使中枢神经系统既能感受内外环境的变化(通过传入神经传输感觉信息),又能调节体内各种功能(通过传出神经传达调节指令),以保证人体的完整统一及其对环境的适应。
神经系统的基本结构和功能单位是神经元(神经细胞),而神经元的活动和信息在神经系统中的传输则表现为一定的生物电变化及其传播。
例如,外周神经中的传入神经纤维把感觉信息传入中枢,传出神经纤维把中枢发出的指令信息传给效应器,都是以神经冲动的形式传送的,而神经冲动就是一种称为动作电位的生物电变化,是神经兴奋的标志。
脊神经
感觉神经的节段性分布
腰穿的局部解剖
左右脑损伤特点比较
腰椎神经对应的体表感觉区域
腕管综合征(上)与肘管综合征(下)的麻木、疼痛区域
三种手部神经损伤的特征性表现
手的神经支配

浙公网安备 33010602011771号