Lesion Insertion文献阅读
肝脏病灶的插入
2015年Lesion insertion in the projection domain: Methods and initial results
来源:https://www.ncbi.nlm.nih.gov/pmc/articles/PMC4654739/
- projection domain


- 将分割出的肝脏病灶,重新插回同一病人的不同位置
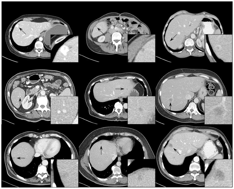
All inserted locations had realistic appearance and blended naturally into the liver background.
- Liver lesions were segmented and inserted back into the same patients at a different location
- (a)–(f) show the original liver lesions
- (g)–(l) show the inserted liver lesions
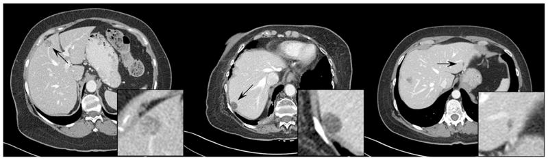
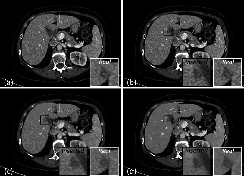
- 不同扫描条件下肝脏病灶的结果(全图+放大图)
Projection-domain lesion insertion method can reflect the impact of reconstruction parameters on the lesion appearance.
- (a) The patient image reconstructed with a FBP B40f kernel and 2 mm slice thickness
- (b) The hybrid image reconstructed with a FBP B40f kernel and 2 mm slice thickness
- (c) The hybrid image reconstructed with a FBP B40f kernel and 5 mm slice thickness
- (d) The hybrid image reconstructed with a SAFIRE I40f kernel (strength of 5) and 2 mm slice thickness
2016年Validation of a Projection-domain Insertion of Liver Lesions into CT Images
来源:https://www.ncbi.nlm.nih.gov/pmc/articles/PMC5026898/
- inserted lesions that received a score of ≥7 (ie, probably real)

- inserted lesions that received a score of ≤3 (ie, probably inserted)

手术探针的插入
2022年Framework of metal insertion in the projection domain for image quality optimization in interventional computed tomography
来源:https://pubmed.ncbi.nlm.nih.gov/35721310/
- metal insertion

- insertion results(插入不同数量的探针)
- 第一行是一个case。第一张:包含真实的三个探针;第二张:包含真实的四个探针;根据前两张:第三张在第一张上面插入了一个探针。
- 第二行是一个case。第一张:包含真实的一个探针;第二张:包含真实的四个探针;根据前两张:第三张在第一张上面插入了三个探针。
- insertion results(在不同域插入探针)
- 从左到右:图像域插入探针(没有伪影),投影域插入探针,两者的为彩图
肺结节的插入
2021年Deep-learning lesion and noise insertion for virtual clinical trial in Chest CT
来源:https://www.ncbi.nlm.nih.gov/pmc/articles/PMC8982986/
- insertion results(两个测试case的五个连续的层面)
The mean SSIM of the small region-of-interest (~12mm width) centered at the inserted nodules was approximately 0.94.
- CNN:the proposed lesion-insertion convolutional neural network (CNN)
- Reference:standard projection-domain insertion
2017年Techniques for virtual lung nodule insertion: volumetric and morphometric comparison of projection-based and image-based methods for quantitative CT
来源:https://www.ncbi.nlm.nih.gov/pmc/articles/PMC5693368/
- 整体流程
- Schematic showing the steps to virtual nodule insertion for Techniques A (projection-based) and B (image-based)
- (a) Co-registration, (b) voxelization, (c) acquire system MTF, (d) blurred lesion model, (e) lesion insertion.
2017年Evaluation of a projection-domain lung nodule insertion technique in thoracic computed tomography
来源:https://www.ncbi.nlm.nih.gov/pmc/articles/PMC5374359/
- 不同形态大小的肺结节

- 医生去打分

2017年A virtual clinical trial using projection-based nodule insertion to determine radiologist reader performance in lung cancer screening CT
来源:https://www.ncbi.nlm.nih.gov/pmc/articles/PMC5384330/
- 不同大小的肺结节&不同剂量的CT图像

结石的插入
2017年Technical Note: Insertion of digital lesions in the projection domain for dual-source, dual-energy CT
来源:https://www.ncbi.nlm.nih.gov/pmc/articles/PMC5462480/
- 肾实质的冠状位插入了四个结石,不同颜色代表不同结石分类


浙公网安备 33010602011771号