SARS-CoV-2变体的筛选
1. Design of molecular switch and NOT logic gate
- 分子开关和非逻辑门的设计
作者设计了两个基于DNA的链位移反应,以模拟两个半导体器件(图1a和b)。作为开关信号的A1和A0分别定义为输入1和输入0。A1是特异性的SARS-CoV-2序列。A0是特定的SARS-CoV-2 β变体(B.1.351)序列。每个MS包含一个双链DNA开关(S(1)和S(2)). DNA开关中的X结构域用于接收输入信号(A1和A0)。DNA开关中的Y结构域被用来与报告基因相互作用探针(R(1)和R(2))。在输入A1存在的情况下,A1会用支点1(结构域a)启动支点介导链位移(TMSD)释放S(1)-2链(图1c)。自由的S(1)-2链随后可以启动另一个TMSD与报告子交互探针R(1)。FAM与BHQ1分离会产生一个高荧光信号,开关1由OFF跳到ON状态。开关响应非常快,可以在4分钟内完成(图1d)。逻辑系统的强度朝向不同浓度的目标也进行了检验(图S5,支持信息)。所以,我们可以通过测量逻辑系统区分SARS-CoV-2感染的不同时期(Cevik et al.,2021)的荧光强度。


通过交换两个分子开关的Y域和将它们并联起来,我们成功地组装了一个非逻辑门,如图2a-c所示。根据荧光时间曲线(图2g)中,支点介导的链位移反应非逻辑门可在4分钟内完成,进一步延长时间不会增加响应信号。因此,我们可以得出结论非逻辑门可以在4分钟内完成。与之前报道的一些SARS-CoV-2传感器相比,本逻辑系统也显示出快速的响应时间(表S2;支持信息)。这些结果表明施工成功一个非逻辑门。


2. Construction of basic logic gates by molecular switch
- 用分子开关构建基本逻辑门
作者还构造了另外两个MS(开关3和开关4)响应开关信号B1和B0;B1是特定的SARS-CoV-2 Delta变(B.1.617.2)序列。B0是特定的SARS-CoV-2 Kappa变体(B.1.351)序列。交换机1通过设计双交换机S(5)与交换机3连接(图S7a,配套信息)。

A1将取代S(5)-3并暴露出支点5。然后,B1可以被激活开关3和位移S(5)-2与R(1)相互作用产生FAM荧光信号(图S7b,辅助信息)。

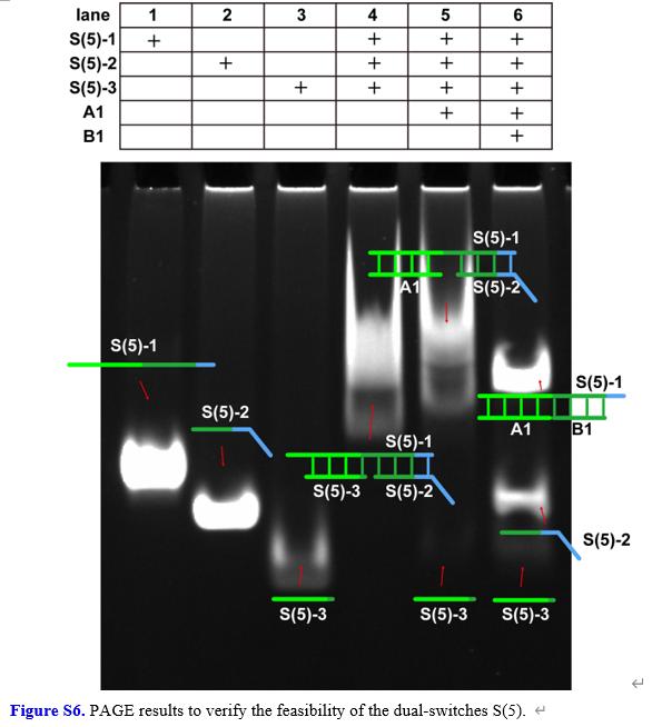
PAGE实验是验证双开关S(5)的可行性(图S6;支持信息)。
作者还建立了一个基于决策树模型的可编程交换网络,相邻交换机之间的连接是可配置的。S7e和f(支持信息)显示了电子电路和与逻辑门的决策树模型。图S8(辅助资料)展示了与逻辑的DNA反应过程的细节。高FAM荧光被定义为输出值为1和定义Cy3荧光输出为0。A1或B1的存在被定义为输入1 A0或B0的存在被定义为输入0。(0,0)、(0,1)和(1,0)的输入组合将生成Cy3荧光。(1,1)输入组合产生FAM荧光。


作者也构建了一个OR逻辑门,一个抑制逻辑门和异或逻辑门。四个逻辑门的结果如图3a、b、d所示。基本逻辑门的真值表如图3c。

四种基本逻辑门的荧光动力学数据如图S12(支持信息)所示。

作者使用了两个变量来定义(1,1)状态,其中输入可以是从大量感染人群中收集,其中两种不同的SARSCoV-2个变体可能共存。为了研究逻辑系统的特殊性,我们使用了与逻辑门作为一个例子来测试对不同输入的逻辑响应。一个非靶链(NTC)和另外两种SARS-CoV-2变体检查(C1和C0)。C1是特异性的SARS-CoV-2 Lambda (C.37)变异序列。C0为SARS-CoV-2特异性基因组(B.1.1.529)序列。如图S13a(支撑信息)所示,A1B1可以产生高FAM荧光信号。A1B0, A0B1, A0B0可以产生高Cy3荧光信号(图S13b,辅助信息)。其他输入组合涉及C1、C0和NTC失败产生FAM或Cy3荧光信号。这些结果表明
逻辑系统的高专用性(图S13c,支持信息)。

3. Construction of half adder and half subtractor
- 半加法器和半减法器的构造
为了构建具有紧凑DNA结构的半加法器,
三个报告器(R(1), R(2)和R(3))用三个荧光团修饰(FAM, Cy3和Cy5)(图S14a,支持信息)。
半加法器逻辑电路如图4a所示。细节图S14b(支持信息)所示。半加法器的结果如图4b、d所示。真值表是如图4c所示。半加法器结果的热图见图4 e。


半加法器的电路图如图S16a所示(支持信息)。一半的荧光动力学数据如图S16c(支持信息)所示。半加法器速度快,可以在6分钟内完成。

当不同的输入信号分子存在于输入A或输入B,在分子开关中会有多条通路,产生多个荧光信号输出(图S17a)。以上结果表明,该逻辑系统能够在广泛人群和复杂人群中筛查SARS-CoV-2变体环境样品。

采用抑制逻辑门进行减法器运算借用位函数和异或逻辑门来实现差分位功能。半减法器的逻辑电路为
如图4f所示。DNA反应过程的细节见图S15b(支持信息)。半减法的结果如图4、i所示。

真值表如图4h所示。半加法器的热图结果如图4j所示。半减法器的电路图如下如图S16b(支持信息)所示。荧光动力学半减法器的数据如图S16d(支持信息)所示。半减法器的响应速度快,可以6分钟内完成。
4. Construction of full adder and full subtractor
- 全加法器和全减法器的构造
另外两个MS(开关5和开关6)响应开关信号C1和C0。C1是特定的SARS-CoV-2 Lambda变体(C.37)序列。C0是SARS-CoV-2特异性组粒变体(B.1.1.529)序列。

用四种荧光团(ROX、FAM、Cy3和Cy5)修饰的报告器(R(5)、R(6)、R(7)和R(8))显示全加法器(图S19a,支持信息)。逻辑全加法器电路如图5b所示。DNA的细节反应过程如图S19b(支持信息)所示。全加法器的结果如图5c、e所示。

真值表全加法器如图5d所示。加法器的热图结果如图5f所示。全加法器的电路图如图S20(支持信息)所示。全加法器响应速度快,可在10分钟内完成。

减法器同理。作者逻辑传感器的一个重要优点是逻辑门系统可实现6种SARS-CoV-2变种的智能筛选10分钟内被肉眼发现。作者已经成功地制作了几个逻辑系统(非、与、或、抑制、异或、半加法器、半减法器、全加法器和全减法器),用于智能感知SARS-CoV-2变体
原文doi:10.1016/j.bios.2022.115025

浙公网安备 33010602011771号