WPACS基于HTML5的DICOM影像浏览
功能概述
- 随时随地在任意移动终端或PC上通过浏览器调阅原始海量医学影像图像
- 客户端无需任何下载安装,直接通过浏览器即可使用并处理基于DICOM标准的高保真医学影像
- 系统遵循DICOM3.0国际标准
- 支持DICOM STORE/QR/WORKLIST/MPPS/PRINT等SCP/SCU
- 纯绿色软件无需安装使用方便,也可和现有PACS系统级联提供基于WEB的临床影像浏览
- 支持x86架构CPU(Intel, AMD, 海光、兆芯等)以及ARM架构CPU(鲲鹏、飞腾等) 服务器
- 支持windows 和 Ubuntu, CentOS, Fedora, Debian, UOS(Deepin), OpenEuler,麒麟OS等Linux平台部署
- 支持私有化部署,多级存储, 可采用JPEG /JPEG2000无损压缩技术提高空间的利用率
- 支持心电DICOM,心电图浏览和处理(显示格式、纸速、增益、滤波、测量等)
- 支持DICOM RT浏览: ROI轮廓线、ISODOSE等剂量线、DVH剂量容积直方图等;
- 支持MPR、CPR、MIP、VR、VE三维图像处理;支持三维裁剪切割 / 一键去床
- 支持PEPTCT融合,三维MPR/MIP融合; XA数字减影;影像增强;
- 支持数字病理切片显示,SR结构化报告显示、PR一致性显示,KO关键影像显示
- 支持sqlserver / mysql / postgreSQL / oracle / sqlite / 达梦等多种主流数据库
- web前端支持IOS、android、鸿蒙OS、windows、linux等包含现代浏览器的任意系统平台
- 前端DICOM Viewer为HTML组件模式,可方便的嵌入任意web页面内
- ...... 更多
一、主要功能介绍
布局: 任意序列图像格布局,任意多序列格布局; 支持标准布局、行布局、列布局;支持序列联动、多序列联动以及复选/关键影像联动;
调窗: 默认窗,全动态窗,自适应窗,线性调窗,非线性调窗,ROI调窗,Sigmoid曲线调窗, 预设窗宽窗位,自定义输入窗宽窗位
缩放: 无级缩放;, true size显示;,100%显示, 自适应窗口,局部放大镜(慧眼),鹰眼全貌图;
处理: 裁剪、负像、伪彩、镜像,滤波、锐化、增强、左/右旋、任意旋转、旋转复位、petct融合、XA减影、灰度直方图、显隐文字标尺、DICOM信息显示等;
对比: 序列批分; 多序列按切片位置自动同步对比浏览;浏览不同平面的系列图像时,自动显示交叉定位线可更好地展示相互间的关系; 浏览不同平面的系列图像时,可实时显示平面上任意一点在其它平面上的空间位置(三维空间定位)
打印:所见即所得排版打印; 任意胶片排版布局,支持嵌套布局,支持多胶片不同布局,支持布局模板; 支持多帧图像自动拆分,支持排版图像拖拽交换和插入;支持打印任务保存和加载;支持纸质打印预览,支持打印输出为PDF;
测量:CT值测量、直线、折线、矩形、圆/椭圆、角度、指示箭头、文字标注、任意多边形、任意轮廓、心胸比、偏差测量、磁力铅笔、魔术棒等;可显示面积、周长、最大值、最小值、均值,SD均方差测量结果;测量元素可任意修改、编辑;
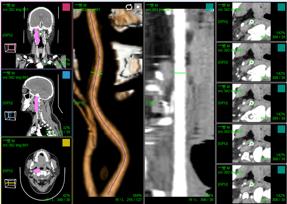
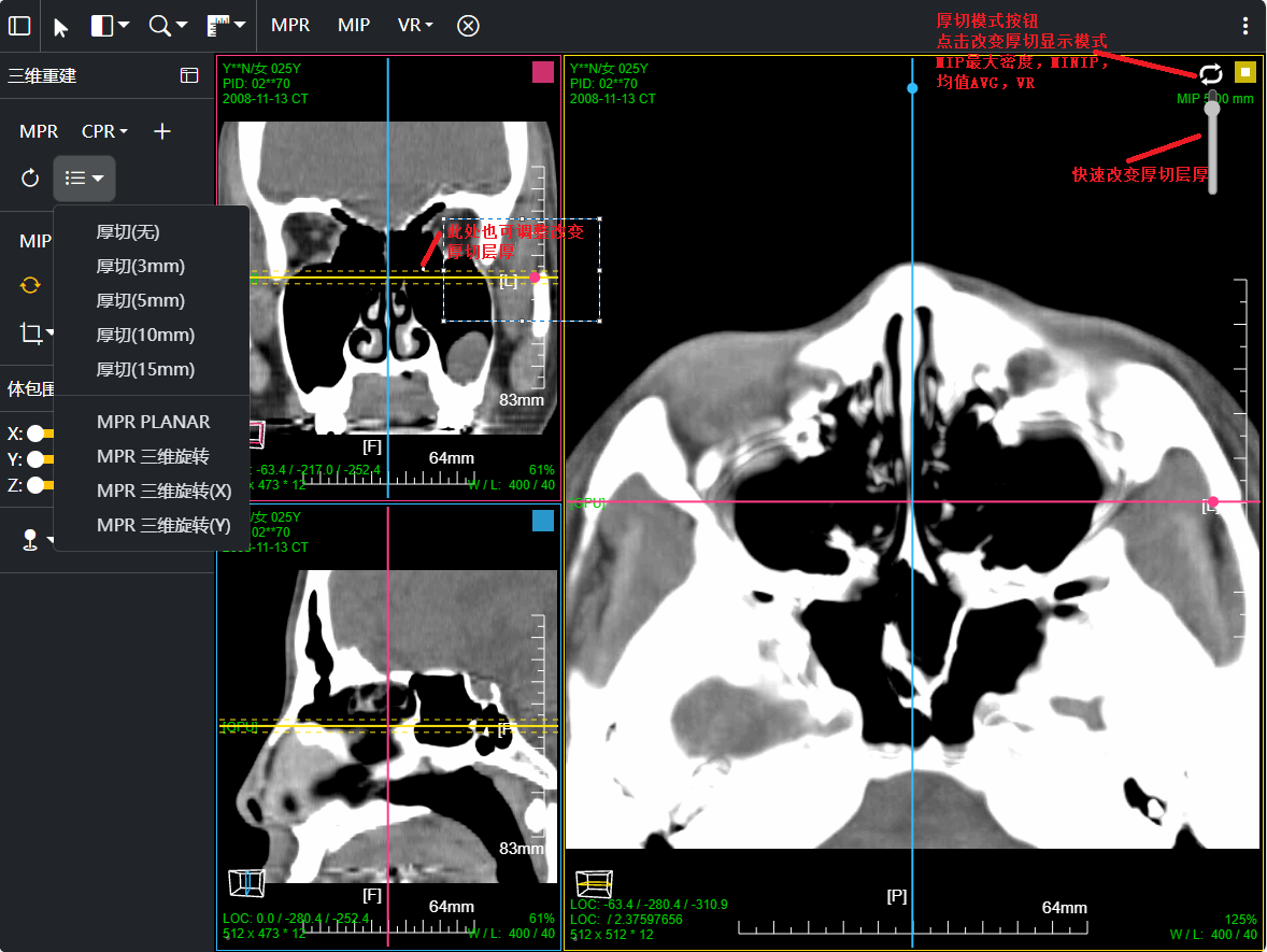
三维:MPR多平面重建(支持任意旋转)、CPR任意曲线切面重建、MIP最大密度、VR容积重建、VE虚拟内窥;任意三维裁剪、一键去床、一键去头骨、快速旋转、厚切MPR(最大密度/最小密度/均值/VR); 手工/半自动分割,分割目标三维渲染; 肋骨CPR拉伸渲染、牙神经管渲染、血管CPR拉直渲染等
心电:心电DICOM浏览处理、心电滤波、心电测量、心率测量、显示心电参数;可调整心电显示增益、纸速、格式,Grid等;
放疗:DICOM RT浏览显示;ROI Structs显示、DVH曲线计算显示、ISO等剂量线显示;支持3D浏览,支持任意MPR平面重建显示ROI Structs和ISO等剂量线;
病理:全数字病理切片显示浏览;缩放、移动、测量、标注、标记、统计等
其它: PR(GSPS灰度一致性显示)加载管理、KO加载管理、SR结构化报告浏览、MPEG视频DICOM浏览、支持DICOM Shutter显示、支持DICOM Overlay图层显示、MG乳腺自动悬片显示、用户自定义图像处理、X光长骨拼接等;
二、基本功能操作和截图

工具棒区域按钮菜单可任意配置,同时支持不同的图像类型或不同屏幕大小配置不同的按钮菜单布局
点击缩略图标题栏 折叠/展开 当前检查缩略图;点击 "关于" 按钮查看当前wpacs当前版本以及浏览器信息,改变工具棒停靠位置
多序列窗口布局时拖动序列窗格边框可改变窗格cell的大小
鼠标移动到序列浏览区下方 显隐序列浮动工具棒(工具棒上按钮用户可自定义配置);
触摸屏点击序列浏览区左下角可弹出序列浮动工具棒并固定;

三、胶片打印和排版
胶片功能按钮区的按钮、菜单以及打印机列表和胶片列表用户可自定义修改配置;
四、全数字病理切片功能操作和截图


五、心电DICOM功能操作和截图
默认滚轮滚动时间轴;右键实时调整纸速和增益;左键测量显示X轴时间和Y轴增益偏差;
六、放疗DICOMRT浏览功能操作和截图
ISO等剂量线百分比显示选择用户可自定义配置;
鼠标右键点击MPR窗口左下 切片位置指示器 可显隐十字交叉线; 左键点击MPR复位
七、PET CT / MR融合功能操作和截图
三维融合; 支持 MPR 9窗口视图;MPR+MIP 12窗口视图; (AXIS或CORO或SAGI)切片+MIP 6窗口视图
PT序列MIP窗口滚轮默认水平旋转; 其它序列MIP窗口滚轮默认缩放
点击MPR窗口右上角颜色块可AXIS轴位、CORO冠位、SAGI矢位切片切换
八、三维浏览功能操作和截图
左键双击MPR窗口可在MPR三窗口和1x1窗口间切换;三维渲染窗口左键双击在在1x1视图模式和当前视图模式切换
点击MPR窗口右上角颜色块可AXIS轴位、CORO冠位、SAGI矢位切片切换
CPR曲面重建 、厚切曲面;
VR容积渲染;鼠标右键默认实时调整当前VR传输函数
MIP 最大密度投影渲染: 鼠标右键默认实时调窗

鼠标滚轮改变切片位置

VR渲染一键去床体:为提高去床速度,可先进行体包围盒裁剪选择含有床体的部分然后点击一键去床功能

VR渲染一键去头骨:首先进行体包围盒裁剪选择头颅部分限制区域生长范围,然后点击一键去头骨功能

VE虚拟内窥; MPR十字交叉点移动到空腔处,点击右下角VE图标按钮, 进入虚拟内窥模式
1、首先菜单 选择 "路径点手工标记":在MPR平面上依次标记空腔管径的中心
九、牙神经管标记


十、血管CPR曲面拉伸拉直

十一、X光图像 拼接

X光图像拼接窗口: 支持自动拼接、手工拼接、拼接图像保存、拼接图像上传功能;支持触发拼接图片上传完成事件
十二、更多功能截图


浙公网安备 33010602011771号