Nat Comm | 北京大学张宏权团队发现新型组蛋白翻译后修饰——异烟酰化修饰
近年来,组蛋白翻译后修饰(PTMs)因其能够通过改变染色质结构进而调控基因转录和表达,在恶性转化、肿瘤发生和进展中发挥重要作用 [1 ],已成为表观遗传研究热点之一。目前发表的研究报道已鉴定到乳酸化、苯甲酰化、巴豆酰化等多种组蛋白翻译后修饰类型,并对其开展了深入研究,极大的拓展了我们对表观遗传学的认知。对于其它未被发现的组蛋白翻译后修饰类型的探索仍在进行中。
2021年9月20日,北京大学基础医学院、国际癌症研究院张宏权教授团队在Nature Communications杂志发表了题为“Isonicotinylation is a histone mark induced by the anti-tuberculosis first-line drug isoniazid”的文章,首次发现了组蛋白异烟酰化修饰 (Isonicotinylation) 这种新型的蛋白质翻译后修饰类型,并对调控该修饰的酶系统及生物学功能进行了研究。
研究人员首次报道异烟肼 (Isoniazid,INH) 及其代谢产物诱导组蛋白发生翻译后修饰——赖氨酸异烟酰化(Kinic),进一步研究发现Kinic修饰由CBP和P300(乙酰转移酶)以及HDAC3(去乙酰化酶)动态调控,INH介导的组蛋白Kinic上调PIK3R1表达并激活PI3K/Akt/mTOR信号通路,促进肝细胞癌(HCC)的发生发展。景杰生物作为合作单位参与此次研究,并为该研究提供抗体开发与蛋白组学技术支持。
01INH刺激细胞和小鼠的组蛋白赖氨酸异烟酰化
研究人员对INH刺激的HepG2细胞富集蛋白进行HPLC-MS/MS检测并利用PTMap软件进行分析,发现其存在赖氨酸异烟酰化的翻译后修饰,并进一步运用开发的高特异性抗体(anti-Kinic,景杰生物),证实这种修饰在15种真核细胞类型中广泛存在。由于酰基化通常由脂肪酸代谢物调节,研究人员试图确定Kinic的上游诱导因素,结果表明,INH及其下游代谢产物异烟酸或异烟酸钠均能诱导细胞内组蛋白或非组蛋白Kinic (下图b-d) 。INH处理后,小鼠肝脏组织中的组蛋白和非组蛋白Kinic水平均增加 (下图f) 。
图、INH诱导组蛋白赖氨酸发生异烟酰化
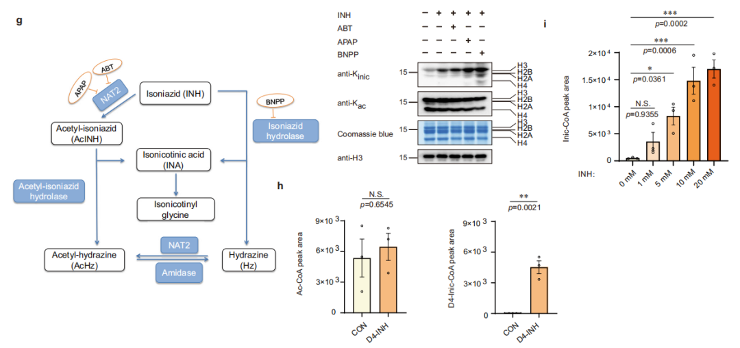
02INH是细胞内异烟碱辅酶A的供体
为进一步确认INH诱导的Kinic是由INH直接引起还是由其代谢产物异烟酸(INA)引起,ABT、APAP(两种N-乙酰基转移酶抑制剂)和BNPP(异烟肼水解酶抑制剂)被用来阻断细胞内INH代谢,结果表明INH可以直接诱导组蛋白Kinic,而无需将INH转化为INA (下图g) 。
Acetyl-CoA是赖氨酸乙酰化反应的辅助因子,那么类似的,是否Inic-CoA是细胞内Kinic反应的辅因子?为了验证这一猜想,研究人员用质谱法对同位素D4-INH标记的HepG2细胞进行定量,结果表明,D4-Inc-CoA在D4-INH处理后明显增加 (下图h,右),而Ac-CoA作为对照则没有变化 (下图h,左)。并且,HPLC-MS/MS结果显示INH处理剂量依赖性地引起Inic-CoA的细胞浓度升高 (下图i)。以上数据表明,Inic-CoA在活细胞中存在,并证明了组蛋白标记Kinic是由INH刺激产生Inic-CoA引发的。
图、INH是细胞内异烟碱辅酶A的供体
03CBP/P300和HDAC3分别作为异烟酰基转移酶和去异烟酰基酶
为了寻找组蛋白异烟酰基转移酶,研究人员过表达四种组蛋白乙酰基转移酶,结果发现组蛋白被CBP和P300明显异烟酰化,但PCAF和hMOF诱导的异烟酰化水平较低 (下图a)。过表达CBP和P300会导致HepG2和HeLa细胞内组蛋白异烟酰化和乙酰化水平升高 (下图b)。siRNA干扰或用A-485/ SGC-CBP30(CBP/P30038抑制剂)抑制内源性CBP和P300表达,组蛋白异烟酰化和乙酰化水平降低。此外,体外实验也表明,CBP/P300在体外能有效地使组蛋白异烟酰化 (下图c)。
随后,研究者用脱乙酰酶抑制剂处理HepG2细胞,可以观察到TSA(HDAC家族脱乙酰酶抑制剂)处理组蛋白异烟酰化水平升高,而NAM(SIRT家族脱乙酰酶抑制剂)处理后无变化,表明HDAC家族成员影响组蛋白异烟酰化 (图4d)。免疫荧光和WB结果显示,HepG2细胞过表达HDAC3导致异烟酰化水平明显降低(下图e-f)。siRNA干扰内源性HDAC3,组蛋白异烟酰化和乙酰化水平升高,表明HDAC3是一种组蛋白去异烟酰化酶。综上所述,CBP和P300是组蛋白异烟酰基转移酶,去乙酰化酶HDAC3是组蛋白异烟酰基转移酶。
图、CBP/P300和HDAC3分别作为异烟酰基转移酶和去异烟酰基酶
04组蛋白Kinic导致更高的染色质开放性,并促进基因转录
组蛋白酰化可以影响核小体结构和染色质开放性。研究者通过MNase敏感性试验证明INH诱导的组蛋白Kinic导致核小体DNA对MNase处理的敏感性,从而提高了染色质开放性 (下图a)。此外,Sat-2是异染色质结构改变的标志,当着丝粒区放松时,Sat-2基因的转录增加。Real-time RT-PCR结果显示Sat-2基因表达上调,表明INH诱导的组蛋白Kinic导致异染色质松弛 (下图b)。
研究者进一步对INH处理的HepG2细胞总RNA进行了RNA-seq,发现313个基因表达上调,而121个下调 (下图c)。KEGG通路富集分析显示,上调基因主要与TNF信号通路、造血细胞谱系、补体和凝血级联、GABAergic突触和cAMP信号通路相关 (下图d)。这些发现表明组蛋白Kinic,像其他酰基化一样,通过松动基因组中的染色质结构来促进基因转录。
图、Kinic影响染色质开放性和基因转录水平
05INH诱导的组蛋白Kinic与癌症发生相关
INH是一种一线抗结核药物,但具有显著肝毒性,能够诱发肝衰竭及大鼠肝癌 [ 2 ]。为阐释其副作用产生机制,研究人员收集了10种不同类型的肿瘤组织和邻近正常组织进行免疫组化染色来确定组织中的Kinic水平。结果表明,胃癌组织的总Kinic水平低于正常组织,而肺腺癌和甲状腺癌组织的总Kinic水平高于正常组织 (下图a-b)。这些发现表明,Kinic水平可能与多种类型的癌症有关。结果显示,在INH刺激下,PIK3R1的mRNA和蛋白水平显著升高。值得注意的是,p-Akt和p-mTOR的表达水平也明显升高,表明mTOR信号通路被组蛋白Kinic激活 (下图c-d)。RNA-seq结果分析发现组蛋白Kinic可促进PI3K/Akt/mTOR通路多个基因的表达,包括FLT3LG、IL7、PIK3R和CHRM1(下图e)。这一发现表明,INH诱导的组蛋白Kinic激活了PI3K/Akt/mTOR信号通路,这可能是组蛋白Kinic与癌症发展相关的证据。
图、组蛋白Kinic与癌症发展相关
总之,本文首次报道了组蛋白异烟酰化修饰Kinic,并进一步报道Kinic的调控酶:CBP/P300 (乙酰转移酶) 以及HDAC3 (去乙酰化酶) 动态调控Kinic修饰水平。Kinic改变组蛋白染色质结构,影响PIK3R1表达与PI3K/Akt/mTOR信号通路激活,从而促进癌症的发生与发展。新报道的组蛋白异烟酰化修饰丰富了组蛋白翻译后修饰的内容,也为异烟肼治疗所导致的多种毒副作用和致癌风险机制的阐明提供了新的科学依据。
北京大学基础医学院博士研究生蒋瑀涵为本文的第一作者,北京大学基础医学院、国际癌症研究院张宏权教授为通讯作者。研究过程中得到了北京大学基础医学院病原生物学系陈香梅副教授、杭州景杰生物科技股份有限公司程仲毅博士和翁叶靖博士的帮助。该研究受国家自然科学基金委员会重点项目、科技部重大基础研究专项、北京市自然科学基金重点项目及北京大学重点基础研究专项的支持。
更多阅读
Nature Aging | 蛋白组与组蛋白修饰分析揭示细胞衰老的表观调控核心机制
2021-05-25
I类HDACs是乳酸化修饰“eraser”
2021-05-18
蛋白修饰如何验证?研究思路轻松get
2021-04-15
Nucleic Acids Res | 清华大学李海涛教授团队首次揭示组蛋白苯甲酰化修饰“reader”
2020-12-16
PTM表观遗传修饰“黑马”之巴豆酰化
2020-10-21
Nature重大突破:全新组蛋白乳酸化修饰调控癌症和炎症等疾病
2019-10-24
参考文献:
[1] Tan, M., et al., 2011, Identification of 67 histone marks and histone lysine crotonylation as a new type of histone modification. Cell.
[2] Li, F., et al., 2016, A High Dose of Isoniazid Disturbs Endobiotic Homeostasis in Mouse Liver. Drug Metab Dispos.
[3] Yuhan Jiang, et al., 2021, Isonicotinylation is a histone mark induced by the anti-tuberculosis first-line drug isoniazid. Nature Communications.
本文由景杰学术团队报道,欢迎转发到朋友圈。如有转载、投稿等其他合作需求,请文章下方留言,或添加微信ptm-market咨询。

浙公网安备 33010602011771号