“噬”说新语 | Autophagy二连发,乳酸化修饰桥联细胞自噬与肿瘤代谢
景杰生物 | 报道
乳酸是一种糖酵解产物,可由丙酮酸经乳酸脱氢酶(LDH)催化生成。最开始乳酸仅仅被视为一种代谢废物,随着研究的深入,人们才发现乳酸不仅参与中心碳代谢,还参与调节肿瘤免疫、抗病毒过程以及内质网(ER)-线粒体镁离子动力学等生理过程,并在许多病理过程中发挥着关键作用。2019年芝加哥大学赵英明教授领衔发现代谢过程中积累的乳酸还可以作为前体物质导致组蛋白赖氨酸发生乳酸化修饰,并参与细菌感染的M1巨噬细胞的稳态调控,调控免疫炎症功能,相关研究成果发表于Nature。
Autophagy | 乳酸化是连接糖酵解和自噬的桥梁
自噬(Autophagy)是细胞质成分大量运输和降解的分解代谢循环途径,在各种生理和病理条件中起着关键作用。目前,已经发现磷酸化、糖基化等多种翻译后修饰调节核心自噬机制的结构和生物学功能,然而乳酸化是否参与调节自噬尚不清楚。
近日,华东理工大学程侠卫团队在Autophagy(细胞自噬领域顶刊)上发表了题为“Lactate is a bridge linking glycolysis and autophagy through lactylation”的文章评论。阐述了ULK1(unc-51 like kinase 1)通过乳酸化作用促进细胞自噬和内体-溶酶体降解途径的新机制,并揭示了该过程在肌肉运动稳态和肿瘤进展中的作用。景杰生物为该评论文章中提及的研究提供了乳酸化修饰泛抗体支持。
首先,研究人员利用遗传编码荧光探针FiLa发现在血清饥饿(降低培养液中的血清浓度)或氨基酸剥夺的条件下,细胞质中的乳酸水平显著增加。为了进一步探究乳酸水平增加的原因,研究人员利用质谱组学检测技术和其他实验证实了ULK1能够磷酸化LDHA的196位丝氨酸,进而增强LDHA的酶活,促进乳酸的产生。
随后,研究人员探索了乳酸化与自噬之间的联系。他们利用质谱组学检测、免疫共沉淀和Western blot等实验,发现许多核心自噬蛋白都发生了乳酸化修饰(如PIK3C3/VPS34、ULK1、UVRAG等),这提示乳酸化在自噬调控中可能起着重要作用。进一步,研究人员发现PIK3C3/VPS34赖氨酸356和781位能由酰基转移酶KAT5/TIP60介导发生乳酸化修饰,这促进了PIK3C3/VPS34与 BECN1、ATG14 和 UVRAG 的相互作用,提高了激酶活性,从而促进了细胞自噬的内体-溶酶体降解途径发生。
最后,本文分别从剧烈运动和肿瘤环境两种不同情况来阐述乳酸是如何作为桥梁将糖酵解和自噬联系起来的。剧烈运动会引起肌肉蛋白变性和线粒体损伤,并产生大量乳酸,从而促进PIK3C3/VPS34的乳酸化水平,增强PIK3C3/VPS34激酶活性,最终诱导肌肉组织自噬,清除因剧烈运动而产生的受损细胞器和蛋白质,恢复代谢平衡来维持肌肉细胞的稳态;对于肿瘤环境来说,乳酸不仅有助于肿瘤细胞的中心代谢,还能协调肿瘤微环境。肺癌和胃癌的Warburg效应使乳酸水平升高,促进PIK3C3/VPS34乳酸化,诱导自噬,进而通过去除受损的细胞器和蛋白质来促进肿瘤进展,增加恶性肿瘤细胞的代谢适应性,帮助肿瘤细胞存活。
图1 乳酸通过PIK3C3/VPS34调控自噬的分子机制
Autophagy | 乳酸化修饰促进结直肠癌对贝伐珠单抗治疗的耐药机制
结直肠癌(CRC)是全球第三大最常见的恶性肿瘤,贝伐珠单抗在转移性结直肠癌的一线和二线治疗中起着至关重要的作用。尽管抗血管生成治疗改善了转移性结直肠癌的临床效果,但大多数患者对治疗还是表现出耐药性,最终导致治疗效果受限。因此,探索结直肠癌细胞抵抗抗血管生成治疗的机制至关重要,为改善转移性结直肠癌的预后效果提供重要参考。
8月29日,中山大学肿瘤防治中心潘志忠、林俊忠教授团队在Autophagy(细胞自噬领域顶刊)杂志上在线发表题为“Tumor-derived lactate promotes resistance to bevacizumab treatment by facilitating autophagy enhancer protein RUBCNL expression through histone H3 lysine 18 lactylation (H3K18la) in colorectal cancer”的研究成果。研究揭示了转移性结直肠癌细胞对贝伐珠单抗产生耐药性的机制,对代谢重编程表观遗传调控进行了新的探索和重要补充,并为通过抑制组蛋白乳酸化提高贝伐珠单抗治疗结直肠癌的临床疗效提供了新的策略。景杰生物为该研究提供了乳酸化修饰泛抗体和组蛋白位点抗体支持。
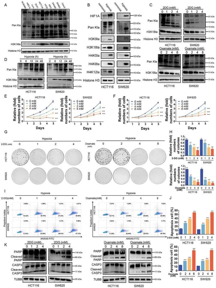
研究者首先通过转录组数据分析及免疫组织化学染色实验,发现受贝伐珠单抗治疗的稳定性疾病(SD)/进行性疾病(PD)患者的糖酵解信号显著富集,且与正常结肠上皮细胞系相比,CRC细胞系中乳酸化和H3K18la水平明显升高,表明乳酸化和H3K18la水平的升高可能导致对贝伐珠单抗的耐药,这可能与结直肠癌患者的低生存率相关。而后通过使用组蛋白乳酸化抗体检测发现,在缺氧条件下,H3K18la水平明显升高,糖酵解抑制剂在CRC细胞中呈现出胞内乳酸水平显著剂量依赖性降低的现象。进一步研究发现,抑制组蛋白乳酸化可以有效抑制结直肠癌细胞的增殖、集落形成。
图2 抑制组蛋白乳酸化对缺氧环境下结直肠癌细胞增殖和存活的影响
通过ChIP-qPCR验证发现,H3K18la富集在RUBCNL启动子上。缺氧时RUBCNL 的mRNA表达水平升高,糖酵解抑制剂处理后RUBCNL表达水平降低。此外,研究者还发现RUBCNL的表达水平与乳酸化和H3K18la水平呈正相关。通过构建RUBCNL敲低和过表达细胞进行功能分析发现,沉默RUBCNL表达可抑制CRC细胞在缺氧条件下的增殖和集落形成能力,并增加缺氧诱导的CRC细胞凋亡;而RUBCNL过表达则增强了缺氧条件下草酸酯处理CRC细胞的增殖能力和集落形成能力,减少了缺氧诱导的CRC细胞凋亡。
之后通过免疫沉淀、免疫荧光分析等方法,研究者发现RUBCNL通过介导III类磷脂酰肌醇3-激酶复合物(PtdIns3K)的募集和功能来促进自噬体成熟,而H3K18la主要通过促进RUBCNL的表达和随后的细胞过程来促进自噬。最后,研究者还发现联合抑制组蛋白乳酸化、自噬可以对贝伐珠单抗治疗呈现出显著的治疗效果。
综上所述,以上两篇文章均运用到乳酸化修饰泛抗体,以乳酸作为桥梁将糖酵解和自噬联系起来,分别揭示了糖酵解代谢产物乳酸调节自噬的新机制,以及首次发现组蛋白乳酸化可以驱动结直肠癌的肿瘤发生和进展,并且在缺氧情况下,可促进癌细胞存活,从而表现对贝伐珠单抗治疗的抗性。研究结果对代谢重编程-表观遗传调控进行了新的探索和重要补充,为解决临床肿瘤药物治疗耐药干预提供了新思路。
景杰生物作为修饰组学及修饰型抗体领域的领跑者,拥有以乳酸化修饰为代表的多种新型酰化修饰抗体,同时也开展新型酰化修饰组学质谱检测服务。截至目前,乳酸化修饰系列抗体全球范围内销售超百万,新型酰化修饰组学合作项目累计过万!公司产品涵盖蛋白质修饰泛抗体、组蛋白修饰型抗体、位点特异性抗体以及重组蛋白等,广泛应用于表观遗传学领域、肿瘤免疫学领域、发育及代谢领域、神经生物学领域及体外诊断领域,文章多次在Cell、Nature、Science等顶级期刊及其子刊上发表,备受客户信赖。
参考文献
1. Sun W, et al. 2023. Lactate is a bridge linking glycolysis and autophagy through lactylation. Autophagy.
2. Li W, et al. 2023. Tumor-derived lactate promotes resistance to bevacizumab treatment by facilitating autophagy enhancer protein RUBCNL expression through histone H3 lysine 18 lactylation (H3K18la) in colorectal cancer. Autophagy.
景杰生物作为修饰组学领域的领跑者,拥有多种修饰抗体和修饰组学质谱检测服务。如果您想了解相关产品和服务的更多信息,请扫描下方二维码填写合作咨询表单、或咨询景杰生物销售工程师、或拨打科服热线400-100-1145。如有转载、投稿等其他合作需求,请在文章下方留言,或添加微信ptm-market咨询。

浙公网安备 33010602011771号