首次报道!Med | 多维组学揭示中国女性衰老时钟
景杰生物 | 报道
衰老(Aging)是一个亘古至今的话题,也是一个复杂的多因素过程。衰老受到遗传和环境等多重因素的影响,由此导致衰老的速度和程度存在高度异质性,进而表现为我们的生物学年龄(Biological Age)与实际年龄(Chronological Age)不一致。衰老被认为是许多慢性疾病的根本原因,如果可以量化衰老,则有助于识别处于功能恶化风险的个体,并预测和指导治疗,从而助力解决全球人口老龄化问题。为此亟需建立能够评估人类生物学年龄的“衰老时钟”。 2023年7月28日,中国科学院动物研究所刘光慧研究员、中国科学院北京基因组研究所(国家生物信息中心)张维绮研究员、衢州市人民医院张峰教授、中国科学院北京基因组研究所(国家生物信息中心)杨运桂研究员,在Cell出版社旗下医学子刊Med(IF=17)上在线发表题为:“Determining a multimodal aging clock in a cohort of Chinese women”的研究论文。该研究运用蛋白质组、转录组、代谢组、表型组等组学分析技术,首次确定了多个组学维度的年龄相关特征,创新性的建立了中国女性的复合衰老时钟,并证明了这些时钟具有评价人类衰老干预的潜力。研究结果揭示了中国女性衰老变化的重要时期,阐明了激素替代疗法可延缓衰老时钟的潜在干预效果,为衰老干预的精准医学奠定理论基础。景杰生物为该研究提供了4D-DIA临床大队列血液高深度蛋白质组(产品名:Blood+DIA)分析支持。
图1 中国女性衰老时钟的建立及应用
1 中国女性衰老队列的多组学数据分析 该研究在浙江省衢州市建立了113名20-66岁健康女性志愿者队列,收集体检结果、血液样本、面部图像等信息进行包括表型组学、转录组学、蛋白质组学、代谢组学的多组学数据分析,结合人工智能分析方法,系统探究了中国女性衰老的多维特征,并鉴定到一系列具有临床转化价值的新型衰老标志物。
图2 中国女性的复合衰老时钟研究示意图
在表型组学中,研究者收集了可以反映动作能力、人体测量学、脂质、激素、血液含量、血细胞以及组织功能7个类别的测量数据,计算年龄与测量结果之间的相关性。研究发现,随着衰老,血液胆固醇、低密度脂蛋白(LDL)等脂质代谢变量增加;促卵泡生成素(FSH)、促黄体生成素(LH)等性激素含量增加,抗缪勒氏管激素(AMH)降低;同时与肝、肺、骨和肌肉组织功能相关的指标与衰老密切相关。 在转录水平中,鉴定到许多已知的衰老基因,其中评估T细胞功能损耗的基因LRRN3、CACHD1表达水平随年龄增长而上升;参与免疫衰老(Immunosenescence)的基因如CD70被上调。此外,随年龄增长而减少的基因在生物分子合成相关途径中富集,表明衰老导致细胞的合成代谢能力下降。研究者继续对整体和单细胞水平上的年龄相关基因进行综合分析时,发现这些基因在T细胞和自然杀伤细胞(NK细胞)中高度富集。 在蛋白水平中,研究者对113例血浆样本进行了蛋白质组学分析,鉴定到血浆中的1327个蛋白中,有119种随着年龄增长而上调的蛋白,148种随年龄增长而下调的蛋白。除了已报道的衰老生物标志物——GPNMB蛋白和CRP蛋白外,研究还鉴定到新的随衰老而逐渐增加的蛋白质(如CCL16、SPP1和CTSB)。值得注意的是,几丁质酶1(CHIT1) 和白细胞免疫球蛋白样受体亚家族 A 成员 2 (LILRA2) 是老年人中积累最多的两种蛋白质,与慢性炎症密切相关,在衰老过程中会增加。此外,研究者推断有三分之一与年龄增长相关的蛋白质源于肝脏,而与衰老呈正相关的肝源性蛋白质包括载脂蛋白、补体和炎性蛋白。研究者通过ELISA实验验证了血浆中载脂蛋白(如APOE、APOC4)的上调与年龄增长呈正相关,其结果在灵长类动物肝脏中也得到验证,这说明载脂蛋白的升高可能指示了人类肝脏衰老的程度。
图3 血浆蛋白质组学分析表征与年龄相关的蛋白质及其组织来源
在代谢水平中,研究者确定了99种与年龄呈正相关的代谢物,和46种与年龄呈负相关的代谢物。这些代谢物几乎一半是脂质和类脂分子,包括属于甘油磷脂、脂肪酰、类固醇和类固醇衍生物的分子。研究者发现脂蛋白和胆固醇浓度随着年龄的增长而显著增加;而天然类固醇激素,如已被报道的衰老的重要生物标志物脱氢表雄酮(DHEA)及其硫酸化形式(DHEA-S)随着年龄的增长而显著减少。此外,研究还发现血浆代谢物(如豆蔻酸、戊酸等)能够显著延缓人动脉内皮细胞衰老、改善内皮细胞的功能,为干预人类血管衰老提供新思路。 2 建立多维度复合衰老时钟 通过整合上述所有与年龄相关的组学特征,研究者发现衰老与炎症免疫、脂质代谢和激素调节途径密切相关。基于所获得的多组学数据集,研究者进一步构建了关于中国女性的多维度衰老时钟,包括面部时钟、表型时钟、转录时钟、蛋白质时钟、代谢时钟、免疫时钟、脂质时钟、激素时钟。通过比较不同种类衰老时钟,研究者发现多维度的复合衰老时钟具有比其他单维度时钟更高的预测精度,且激素时钟与其他时钟具有较高的相关性,表明激素变化与女性衰老的多个方面具有密切联系。
图4 复合衰老时钟的建立
3 中国女性复合衰老时钟的应用 基于复合衰老时钟,研究者定位到中国女性在衰老过程中的非线性变化,在30岁和50岁呈现特征的峰值,这表明人类在不同年龄段的衰老速度不同。30岁时,衰老变化主要表现为3种甘油磷脂增加,类固醇和类固醇衍生物减少。50岁时,组织健康指标快速转变,如骨密度、肺功能、肌肉组织等急剧下降。有趣的是,这两个波峰对应了女性生育和更年期的时间点,这可能导致女性内分泌水平发生较大波动,再次印证激素水平的改变可能是女性衰老的关键影响因素。
图5 多维组学特征随衰老的非线性变化
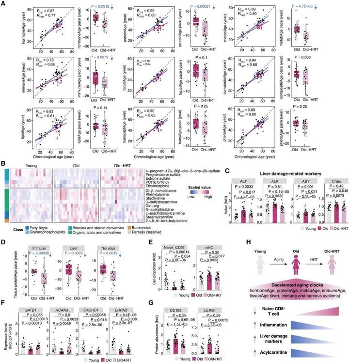
激素替代治疗(Hormone replacement therapy,HRT)是指对存在雌激素缺乏的绝经后妇女补充雌激素及孕激素以缓解其更年期症状的治疗。为验证HRT疗法是否可以缓解衰老,研究者将长期进行HRT治疗的人群与从未接受治疗的人群进行比较,结果发现使用HRT治疗的人群在蛋白质时钟、代谢时钟、免疫时钟和激素时钟表现出缓解趋势,这一结果表明HRT在某种程度上可以延缓女性衰老,具有衰老干预的临床应用价值,同时也说明该研究建立的衰老时钟具有评价衰老干预手段的临床应用价值。
图6 HRT在多维组学水平上对女性衰老的影响
综上所述,该研究通过对中国女性衰老过程开展蛋白质组学、转录组学等多组学分析,首次建立了涵盖多组学特征的复合衰老时钟,揭示了女性衰老的过渡期的重要时间节点与激素水平相关,阐明了激素替代疗法可延缓衰老时钟的潜在干预效果,为衰老干预的临床开发研究提供宝贵的理论基础和应用价值。
参考文献
Jiaming Li, et al. 2023.Determining a multimodal aging clock in a cohort of Chinese women. Med.
景杰生物作为修饰组学领域的领跑者,拥有多种修饰抗体和修饰组学质谱检测服务。如果您想了解相关产品和服务的更多信息,请扫描下方二维码填写合作咨询表单、或咨询景杰生物销售工程师、或拨打科服热线400-100-1145。如有转载、投稿等其他合作需求,请在文章下方留言,或添加微信ptm-market咨询。

浙公网安备 33010602011771号