基于水平集进化的轮廓提取

MATLAB代码

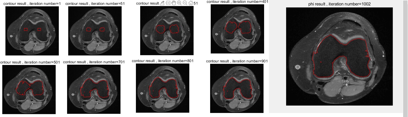
水平集进化(LSE)是一种著名的轮廓提取(确定对象边界)和对象分割的方法。

LSE的主要缺点是重新初始化步骤。

为了消除提取出的物体边界(轮廓)的不规则性,必须执行该步骤。

基本上,水平集必须根据一些基于距离的准则定期重新初始化。

ID:928627236002077

posted on 2023-05-17 15:29  mysyn  阅读(96)  评论(0)    收藏  举报