ENVI5.3SP1中的云/云影自动检测工具
ENVI5.3 SP1中新增了云/云影自动检测工具"Calculate Cloud Mask Using Fmask Algorithm",使用Fmask算法自动从多光谱数据中检测云区域,检测到云区域生成云+云影的掩膜文件后,可以在后续的数据处理中使用来剔除这些无效区域,而且该文件的反掩膜文件对一些处理也有用处,比如有些用户感兴趣的是云的信息,那么可以在分类时输入反掩膜文件,分析时免去非云区域的干扰。
ENVI工具箱中的"Calculate Cloud Mask Using Fmask Algorithm"使用Fmask3.2算法,相应的API是"ENVICalculateCloudMaskUs
-
多光谱数据定标为大气表观反射率(TOA)
-
热红外数据定标为亮度温度(单位为开尔文)
- 卷云波段定标为大气表观反射率TOA(只针对Landsat8传感器)
下图是Landsat7 ETM+多光谱数据用通用定标工具定标为大气表观反射率数据:

图 Landsat7 ETM+大气表观反射率数据
下图是用上面的数据使用"Calculate Cloud Mask Using Fmask Algorithm"得到的结果,蓝绿色的是云掩膜的区域(默认的掩膜区域是黑色,用户可以手动修改)。

图 云检测工具输出的文件
输出的文件中,在元数据中会增加云量百分比信息,可以在View Metadata中查看到:

图 头文件中的云量信息
云检测工具得到的结果可以进一步的使用,比如用于分类,云和云影的像元就不会参与分类,不会对结果造成影响。在分类结果中,云和阴影的像元被标识为

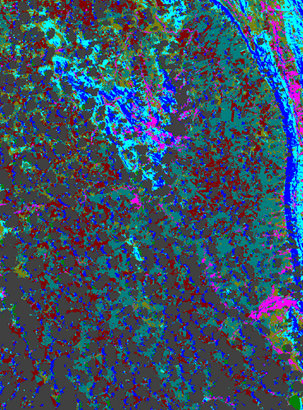
图 土地利用分类结果
下面是使用两景NNP VIIRS中分辨率M-Band数据的镶嵌结果,对2015年10月3日的飓风帕特丽夏在墨西哥海岸登陆进行监测:

图 NOAA提供的NPP VIIRS M-Band数据
对该数据进行云检测得到云掩膜文件,使用Bandmath工具得到反掩膜文件,表达式:B1 LT 1,这样得到的有效范围就是云的区域,如下图所示,白色区域是云覆盖的区域:

图 云掩膜文件的反掩膜文件
在接下来的非监督分类中,运用该反掩膜文件,对云进行分类,分类结果如下图所示:

图 对云覆盖范围进行非监督分类结果
分类结果展示了不同类型的云,能反应台风过境的情况。
Fmask算法参考文献:
-
Zhu, Z., S. Wang, and C. E. Woodcock. "Improvement and Expansion of the Fmask Algorithm: Cloud, Cloud Shadow, and Snow Detection for Landsats 4-7, 8, and Sentinel 2 Images." Remote Sensing of Environment 159 (2015): 269-277, doi:10.1016/j.rse.2014.12.014 (paper for Fmask version 3.2).
-
Zhu, Z., and C. E. Woodcock. "Object-Based Cloud and Cloud Shadow Detection in Landsat Imagery." Remote Sensing of Environment 118 (2012): 83-94, doi:10.1016/j.rse.2011.10.028 (paper for Fmask version 1.6).

浙公网安备 33010602011771号