直方图均衡化与规定化
Histogram equalization and specialization
from PIL import Image
import os
class Img:
def __init__(self, image):
self.img = image
def getPr(self):
# 获取各灰度的概率
img = self.img
dic = {}
colors = img.getcolors()
totalPixels = img.width*img.height
for counts, r in colors:
dic[r] = counts/totalPixels
return dic
def getEqualization(self):
# 计算均衡字典{inputPix : outputPix}
img = self.img
sumPr = 0
dic_equal = self.getPr()
for r in dic_equal:
sumPr += dic_equal[r]
dic_equal[r] = round(sumPr * 255)
return dic_equal
def getEqualReverse(self):
# 计算反均衡字典{outputPix : inputPix}
dic_equal = self.getEqualization()
dic_reverse = {}
for r in dic_equal:
if not dic_equal[r] in dic_reverse:
dic_reverse[dic_equal[r]] = r
return dic_reverse
def getEqualizedImg(self):
# 计算均衡后的图像
img = self.img
dic_equal = self.getEqualization()
equalizedImg = Image.new(
img.mode, (img.width, img.height))
for x in range(img.width):
for y in range(img.height):
r = img.getpixel((x, y))
equalizedImg.putpixel((x, y), dic_equal[r])
return Img(equalizedImg)
def getSpecification(self, targetImg):
# 计算规定化后的图像
img = self.img
dic = self.getEqualization()
dic2 = targetImg.getEqualReverse()
for r in dic:
if dic[r] in dic2:
dic[r] = dic2[dic[r]]
else:
s = dic[r]
i, j = 1, 1
while (not s + i in dic2):
if s + i > 255:
i = 256
break
i += 1
while (not s - j in dic2):
if s - j < 0:
j = 256
break
j += 1
if i < j:
dic[r] = dic2[s + i]
else:
dic[r] = dic2[s - j]
specializedImg = Image.new(
img.mode, (img.width, img.height))
for x in range(img.width):
for y in range(img.height):
r = img.getpixel((x, y))
specializedImg.putpixel((x, y), dic[r])
return Img(specializedImg)
whiteImgName = '322_sli128_T1.png' # 目标图像
sourceFolderName = 'NoEyeData'
savingFolderName = 'NoEyeData_s'
if not os.path.exists('./' + savingFolderName):
os.mkdir('./' + savingFolderName)
filePath = './' + sourceFolderName
fileList = os.listdir(filePath)
white = Image.open(filePath + '/'+whiteImgName)
white.save('./'+savingFolderName+'/'+whiteImgName)
white = Img(white)
for i in fileList:
if i == whiteImgName:
continue
black = Image.open(filePath+'/'+i)
black = Img(black)
b2w = black.getSpecification(white)
b2w.img.save('./'+savingFolderName+'/'+i)
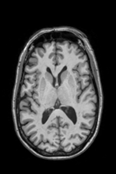
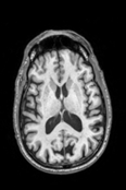
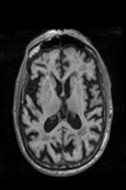
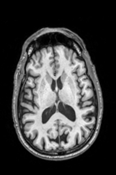
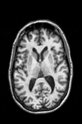
原图:





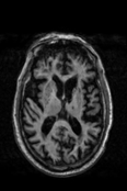
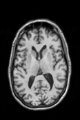
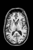
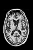
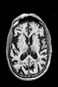
直方图匹配效果:






浙公网安备 33010602011771号