易基因:J Hazard Mater(IF11.3):安徽医科大学徐德祥团队揭示产前重金属暴露通过改变表观遗传修饰调控胎盘血管生成机制
大家好,这里是专注表观组学十余年,领跑多组学科研服务的易基因。
近日,安徽医科大学公共卫生学院卫生毒理学系徐德祥教授团队在环境科学领域国际权威期刊《Journal of Hazardous Materials》发表题为“Prenatal arsenic exposure disrupts placental angiogenesis by altering Pdgfb promoter epigenetic modification”的科研成果。本研究系统阐明了产前砷(Arsenic,As)暴露通过抑制胎盘血管生成关键因子PDGFB的表达致使胎盘血管发育异常及胎儿生长受限的机制。具体而言,砷暴露通过降低TCA循环代谢物 α-酮戊二酸(α-KG) 含量和抑制 TET酶活性,改变Pdgfb基因启动子区域的DNA甲基化(5mC)和羟甲基化(5hmC)修饰,从而下调PDGFB表达,最终破坏胎盘血管生成功能。此外,研究还发现α-KG补充可以恢复砷诱导的Pdgfb表观遗传修饰异常,并改善胎盘血管生成和胎儿生长受限。本研究结合细胞实验、动物模型和人群队列验证,首次提出“α-KG/TET/Pdgfb”轴的表观遗传重编程是砷致胎盘毒性的关键。
标题:Prenatal arsenic exposure disrupts placental angiogenesis by altering Pdgfb promoter epigenetic modification(产前砷暴露通过改变 Pdgfb 启动子表观遗传修饰来破坏胎盘血管生成)
发表时间:2025年8月15日
发表期刊:Journal of Hazardous Materials
影响因子:IF11.3/Q1
技术平台:代谢组学分析、RNA-seq、DNA羟甲基化测序(ACE-seq)等(易基因金牌技术)
作者单位:安徽医科大学卫生毒理学系
DOI:10.1016/j.jhazmat.2025.138736
本研究旨在探讨产前砷(As)暴露对胎盘血管生成及其关键机制的影响。研究者在大鼠妊娠期间通过口饲亚砷酸钠(NaAsO2)进行砷暴露处理,且利用HTR8/SVneo细胞系建立体外模型,并通过RNA-seq测序以鉴定关键调控因子。同时,使用多组学方法检测关键调控因子的DNA甲基化和DNA羟甲基化水平,并采用代谢组学方法寻找潜在机制。结果显示,砷暴露减少了小鼠胎盘血管的直径和数量,并削弱了HTR8/SVneo细胞系的内皮样管状形成能力。此外,RNA-seq鉴定出血小板衍生生长因子b(Pdgfb)为此过程中的关键调控因子。具体而言,砷暴露通过抑制TET活性改变Pdgfb的甲基化和羟甲基化,从而下调PDGFB表达。代谢组学分析表明,砷暴露下调了TCA循环代谢物α-KG,可能介导TET活性抑制。对小鼠和细胞进行α-KG补充可改善砷诱导的Pdgfb甲基化和羟甲基化变化,改善砷诱导的血管生成能力减弱,并防止小鼠胎儿生长受限。有趣的是,在病例对照研究中,母体血清α-KG含量和胎盘PDGFB含量与尿液砷浓度呈负相关,而胎盘PDGFB含量与出生体重呈正相关。总体而言,产前砷暴露通过改变Pdgfb的表观遗传编程损害胎盘血管生成。
- 砷暴露因PDGFB表达下调而减弱小鼠胎盘和人类滋养层细胞的血管生成。
- 砷暴露通过抑制TET活性诱导Pdgfb表观遗传修饰改变。
- 砷暴露下调TCA循环代谢物α-KG,从而抑制TET活性。
- α-KG补充改善砷诱导的Pdgfb表观遗传修饰改变和血管生成能力。

研究方法
本研究采用了一系列实验方法来探讨产前砷暴露对胎盘血管生成的影响及其机制。
动物实验:使用CD-1小鼠,通过在饮用水中添加NaAsO2(15mg/L)模拟产前砷暴露,观察其对胎盘血管生成的影响。实验组小鼠从妊娠第0.5天(GD0.5)开始饮用含NaAsO2的水,直至妊娠第18.5天(GD18.5)。
细胞实验:使用HTR8/SVneo细胞系(一种人胎盘滋养层细胞系)建立体外模型,研究砷暴露对细胞血管生成能力的影响。细胞分别暴露于不同浓度的NaAsO2(0.02 μM、0.2 μM、2 μM)和不同时间(4天、8天、12天)。
RNA-seq:对砷处理的HTR8/SVneo细胞系进行RNA-seq测序,筛选出与血管生成相关的差异表达基因。通过GO分析和KEGG分析,进一步探讨这些基因的功能和信号通路。
表观遗传修饰检测:检测Pdgfb基因启动子区域的DNA甲基化水平,使用ACE-seq技术检测DNA羟甲基化水平,分析砷暴露对Pdgfb基因启动子表观遗传修饰的影响。
代谢组学分析:通过UPLC-MS/MS检测细胞和胎盘中的代谢物含量,特别是α-KG TCA循环相关代谢物,揭示砷暴露对细胞代谢的影响,以及这些代谢变化如何影响表观遗传修饰。
TET活性检测:评估砷暴露对TET活性的影响。
α-KG补充实验:在砷暴露的HTR8/SVneo细胞系和小鼠中添加二甲基-α-KG(Dm-αKG)或α-KG,观察其对Pdgfb表观遗传修饰和血管生成能力的改善效果。
病例对照研究:从TIMFEM出生队列中选取样本,分析孕妇尿液中砷浓度与胎盘基因组甲基化和羟甲基化水平、胎盘PDGFB含量及出生体重之间的相关性。
结果图形
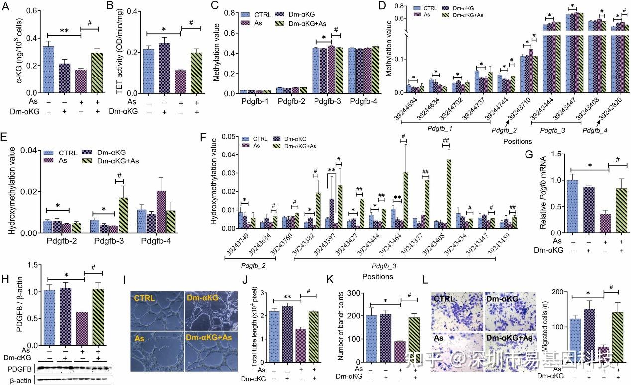
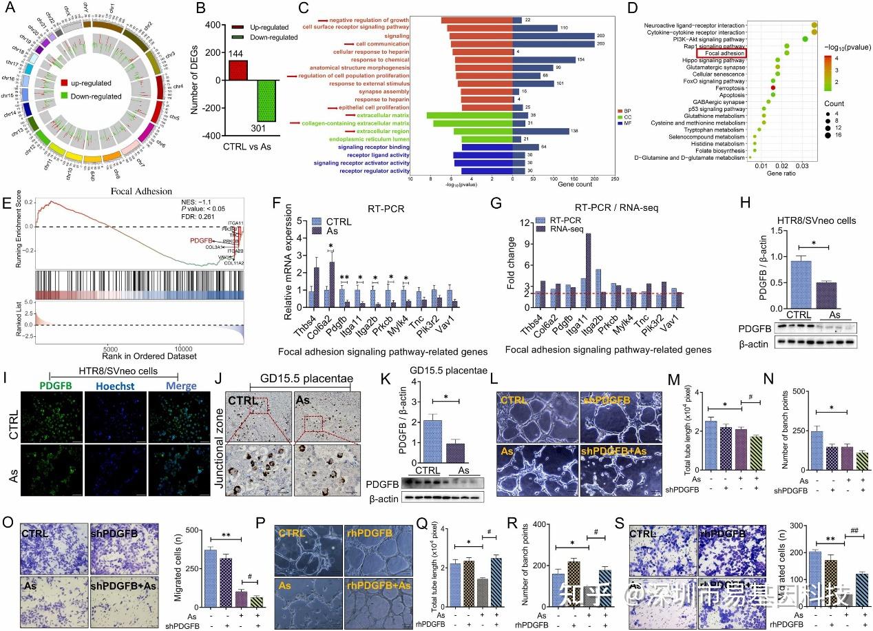
(1)砷暴露下调小鼠胎盘和HTR8/SVneo细胞系中的PDGFB表达
RNA-seq发现砷处理组301个基因下调,144个上调,GO分析显示PDGFB富集于血管生成相关通路。RT-PCR和免疫印迹验证PDGFB在砷暴露的胎盘和细胞中表达均降低,提示PDGFB是砷抑制血管生成的核心靶点。
图1:砷暴露对小鼠胎盘和人HTR8/SVneo细胞系全基因组表达的影响。
(2)砷暴露改变小鼠胎盘和HTR8/SVneo细胞系中Pdgfb启动子的DNA甲基化和羟甲基化模式
为揭示砷诱导的PDGFB下调的潜在原因,研究人员分析了Pdgfb启动子的甲基化和羟甲基化模式。
在HTR8/SVneo细胞系中,Pdgfb启动子有4个富含CpG片段。结果显示,砷处理的HTR8/SVneo细胞系中第三个片段的甲基化水平增加。
接下来,研究人员分析了砷暴露对HTR8/SVneo细胞系Pdgfb羟甲基化的影响。检测到Pdgfb启动子的第二个、第三个和第四个片段的羟甲基化水平。其中,第二个和第三个片段的羟甲基化水平在砷处理的HTR8/SVneo细胞系中降低,其中6个位于CpG位点。
在小鼠胎盘中,Pdgfb启动子有3个富含CpG的片段。结果显示,砷暴露小鼠胎盘中Pdgfb基因的三个片段的甲基化水平无差异。火山图显示,砷暴露小鼠胎盘中59个CpG位点的甲基化水平未改变,但3个CpG位点甲基化水平降低,1个CpG位点甲基化水平增加。
接下来,研究人员分析了小鼠胎盘的Pdgfb羟甲基化。结果检测到Pdgfb启动子的第一个和第二个片段羟甲基化水平。其中,第二个片段的羟甲基化水平在砷暴露小鼠胎盘中降低。
图2:砷暴露对Pdgfb甲基化和羟甲基化的影响。
(3)Dm-αKG补充可改善砷处理的HTR8/SVneo细胞系中Pdgfb的甲基化和羟甲基化模式以及血管生成能力
二甲基-α-KG(Dm-αKG)是一种细胞可渗透的α-KG类似物。研究人员分析了Dm-αKG对砷处理的HTR8/SVneo细胞系中Pdgfb甲基化模式的影响。结果显示,Dm-αKG缓解了砷诱导的Pdgfb基因第三个片段的甲基化上调。随后,研究人员评估了Dm-αKG对Pdgfb羟甲基化的影响。结果显示,砷处理的HTR8/SVneo细胞系中第二个和第三个片段的羟甲基化水平降低。Dm-αKG处理逆转了砷诱导的Pdgfb基因第三个片段的羟甲基化降低。
接下来,研究人员观察了Dm-αKG对Pdgfb mRNA和蛋白的影响。结果显示,Dm-αKG缓解了砷诱导的Pdgfb mRNA和蛋白下调。最后,研究人员分析了Dm-αKG对管状形成能力的影响。结果显示,Dm-αKG处理改善了砷诱导的内皮样管状形成障碍。此外,Transwell迁移实验和伤口愈合实验显示,Dm-αKG处理缓解了砷诱导的迁移抑制。
图3:Dm-αKG对人胎盘滋养层Pdgfb甲基化、羟甲基化和血管生成能力的影响。
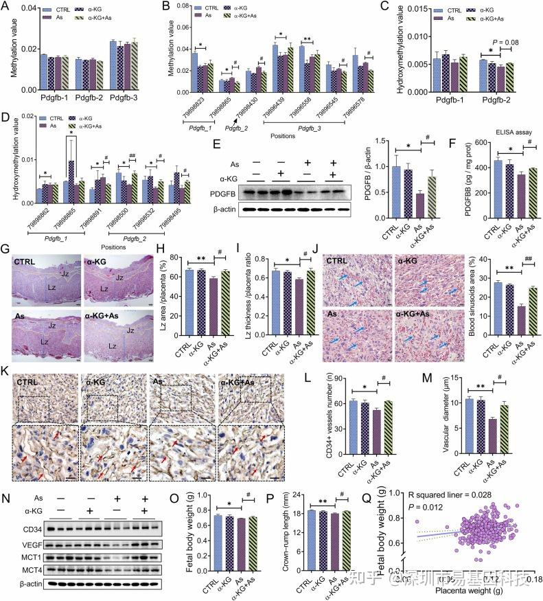
(4)母体α-KG补充可改善砷暴露小鼠胎盘中Pdgfb的甲基化和羟甲基化以及胎盘血管生成能力
研究人员分析了α-KG补充对砷暴露小鼠胎盘中Pdgfb启动子甲基化水平的影响。结果显示,不同组之间Pdgfb基因的三个片段的甲基化水平无差异。与砷暴露小鼠相比,α-KG补充小鼠胎盘中4个CpG位点甲基化水平下调。
接下来,研究人员分析了α-KG补充对Pdgfb羟甲基化水平的影响。结果显示,砷诱导的Pdgfb基因第二个片段的羟甲基化水平降低在α-KG补充小鼠胎盘中得到逆转。同时,研究人员检测了α-KG补充对胎盘PDGFB蛋白的影响。免疫印迹和ELISA实验显示,α-KG补充缓解了砷诱导的PDGFB下调。
此外,研究人员评估了母体α-KG补充对胎盘发育和胎儿生长的影响。结果显示,α-KG补充缓解了砷诱导的迷宫区面积减少,以及迷宫区与连接区厚度比降低。同时,α-KG补充缓解了砷诱导的迷宫区血窦面积减少。免疫组化实验显示,α-KG补充缓解了砷诱导的CD34+血管数量和血管直径减少。免疫印迹实验显示,α-KG补充恢复了砷诱导的胎盘CD34、VEGF、MCT1和MCT4蛋白水平的下调。最后,研究人员评估了α-KG补充对胎儿发育的影响。结果显示,砷暴露小鼠的胎儿体重和冠臀长显著降低。而α-KG补充缓解了砷诱导的胎儿体重和冠臀长的减少。相关性分析显示,胎盘重量与胎儿体重呈正相关。
图4:母体补充α-KG对小鼠胎盘Pdgfb甲基化和羟甲基化模式以及胎盘血管生成能力的影响。
(5)病例对照研究:母体尿液砷浓度、胎盘基因组甲基化和羟甲基化水平、胎盘PDGFB含量与出生体重之间的关联
研究人员分析了中国合肥“通过多点暴露监测改善母婴健康(TIMFEM)”出生队列中的样本,评估了母体尿液砷浓度与胎盘基因组甲基化和羟甲基化水平、胎盘PDGFB含量及出生体重之间的关联。结果显示,小于胎龄儿(small for gestational age , SGA)婴儿的母体尿液砷浓度高于适于胎龄儿(appropriate for gestational age,AGA)婴儿。
SGA婴儿的母体血清α-KG含量低于AGA婴儿,母体尿液砷浓度与血清α-KG含量呈显著负相关。胎盘基因组5mC在AGA和SGA婴儿之间无差异,但SGA婴儿的胎盘基因组5hmC显著低于AGA婴儿。此外,SGA婴儿的胎盘PDGFB含量低于AGA婴儿。进一步分析显示,母体尿液砷浓度与胎盘PDGFB含量呈显著负相关,胎盘PDGFB含量与胎儿出生体重呈正相关。
图5:病例对照研究:母体尿砷浓度、胎盘羟甲基化水平、胎盘PDGFB含量与出生体重的关系分析。
结论和启示
研究揭示了砷暴露对胎盘血管生成的抑制作用,并阐明了其潜在的分子机制,即砷暴露通过抑制TET活性和α-KG含量,改变Pdgfb基因启动子的甲基化和羟甲基化模式,作用PDGFB表达下调,最终抑制胎盘血管生成。
ACE-seq技术在本研究中发挥了关键作用,主要用于检测Pdgfb基因启动子区域的DNA羟甲基化水平。通过ACE-seq,研究人员能够精准分析砷暴露对Pdgfb基因启动子羟甲基化模式的影响。该技术的优势在于能够高通量、高精度地检测DNA修饰状态,尤其是在研究表观遗传修饰变化对基因表达调控的影响方面。在本研究中,ACE-seq技术帮助揭示了砷暴露如何通过改变Pdgfb基因启动子的羟甲基化模式来影响PDGFB的表达,从而为理解砷暴露对胎盘血管生成的破坏性提供了重要分子机制。
关于易基因ACE-seq羟甲基化测序技术
APOBEC-coupled epigenetic sequencing(ACE-seq)技术是一种全新的鉴定5hmC的方法。DNA脱氨酶APOBEC3A(A3A)能够特异地脱去C及5mC的氨基使其变为U,而5hmC则因为不被该酶识别,测序时仍被识别为C。该技术利用该酶的这种特性,特异性地检测基因组上发生的5hmC修饰。ACE-seq原理示意如下:
(1)利用β-葡糖基转移酶(βGT)将5hmC加上葡糖基,转变成5ghmC,5ghmC不会被A3A酶脱氨基。
(2)利用A3A酶特异去除C和5mC的氨基,使其转变成U,而5hmC保持为C,从而将5hmC和C/5mC区分开来。
ACE-Seq具有以下优势:
- 检测范围为全基因组。可以得到基因组上大部分C位点的羟甲基化水平。
- 单碱基分辨率。能够检测单个C碱基的羟甲基化水平,精确度高。
- 低起始量。ACE-Seq利用脱氨酶实现5hmC与C及5mC的区分,反应条件温和,不破坏基因组,大大减少基因组DNA的损失,因此起始DNA量比常规的oxBS技术降低100倍。
- 高准确性。绝大部分甲基化修饰的C都被转化成U,而绝大部分经过糖基化修饰的5hmC(5ghmC)则保持为C,表明该技术具有充分的可靠性。
- 经济性。仅需一个文库解决问题,羟甲基化研究成本大大降低。
参考文献:
Zhang Y, Song YP, Wu HY, Zhong FJ, Xue H, Fan YJ, Zhang C, Xu DX. Prenatal arsenic exposure disrupts placental angiogenesis by altering Pdgfb promoter epigenetic modification. J Hazard Mater. 2025 May 26;494:138736. doi: 10.1016/j.jhazmat.2025.138736.
相关阅读:
1.项目文章|ACE-seq助力开发EDD-5hmC检测新技术 用于疾病诊断研究中精准定量5-羟甲基胞嘧啶
2.项目文章|微量WGBS+ACE-seq揭示卵巢早衰的人卵丘细胞DNA甲基化与羟甲基化表观基因组图谱
3.Adv Sci:ACE等揭示产前不良环境暴露通过DNA羟甲基化变化介导子代自闭症|国人佳作
5.Adv Sci:ACE等揭示产前不良环境暴露通过DNA羟甲基化变化介导子代自闭症|国人佳作
6.技术推介|DNA羟甲基化研究:APOBEC-coupled epigenetic sequencing(ACE-Seq
浙公网安备 33010602011771号