易基因:复旦中山医院沈英皓利用ChIP-seq及多组学解析肝癌仑伐替尼耐药机制(国人佳作) :Hepatology/IF15.8|项目文章
大家好,这里是专注表观组学十余年,领跑多组学科研服务的易基因。
近日,复旦大学附属中山医院liang bugang、郑懿民等为并列第一作者,沈英皓、柯爱武为共同通讯作者,在《Hepatology》杂志发表了题为“The MASTL/YBX1/PAK4 axis regulated by stress-activated STK24 triggers lenvatinib resistance and tumor progression in HCC”的科研论文。该研究聚焦肝细胞癌(Hepatocellular carcinoma, HCC)中仑伐替尼(Lenvatinib)耐药这一临床难题,通过一系列实验探究了其耐药机制。研究利用转录组和蛋白质组测序分析,揭示了微管相关丝氨酸/苏氨酸激酶样蛋白(Microtubule-associated serine/threonine kinase-like, MASTL)在仑伐替尼耐药的 HCC 细胞和组织中高表达,并通过染色质免疫共沉淀测序(ChIP-seq)等研究进一步揭示应激激活的丝氨酸/苏氨酸蛋白激酶 24(Serine/threonine protein kinase 24, STK24)调控的 MASTL/YBX1/PAK4 轴在 HCC 中介导仑伐替尼耐药和肿瘤进展的关键作用,为突破HCC 仑伐替尼耐药提供了潜在的治疗靶点。易基因为本研究提供了ChIP-seq技术服务,助力揭示MASTL信号轴在耐药中的关键作用。
论文标题:The MASTL/YBX1/PAK4 axis regulated by stress-activated STK24 triggers lenvatinib resistance and tumor progression in HCC(应激激活的STK24调控MASTL/YBX1/PAK4轴介导肝细胞癌仑伐替尼耐药和肿瘤进展)
发表时间:2025年6月2日
发表期刊:Hepatology
影响因子:IF15.8/Q1
技术平台:转录组、蛋白质组、表观基因组(ChIP-seq)等(易基因金牌技术)
作者单位:复旦大学附属中山医院
DOI:10.1097/HEP.0000000000001392
许多肝细胞癌(HCC)患者对仑伐替尼治疗反应不佳。因此,阐明耐药的潜在机制并制定有效的逆转策略至关重要。本研究首先对仑伐替尼耐药的细胞系和患者来源样本进行转录组和蛋白质组测序分析,确定MASTL是与HCC中仑伐替尼耐药密切相关的关键因子。随后,研究人员利用皮下注射小鼠模型、半数抑制浓度(IC50)实验和集落形成实验,揭示了MASTL在促进肿瘤生长和介导仑伐替尼耐药的生物学功能。为进一步阐明潜在机制,免疫共沉淀和质谱分析揭示了MASTL促进YBX1蛋白磷酸化。通过染色质免疫沉淀实验(ChIP-seq),研究进一步验证磷酸化的YBX1在转录水平上介导PAK4激活,确定PAK4是MASTL通路的下游效应分子。此外,质谱分析和磷酸化分析表明,STK24可以在仑伐替尼作用下激活HCC中的MASTL。而阻断MASTL/YBX1/PAK4信号轴可恢复HCC对仑伐替尼的敏感性。
本研究结果表明,由应激诱导的STK24激活MASTL/YBX1/PAK4轴在仑伐替尼耐药中发挥关键作用。通过靶向MASTL抑制该轴可有效克服HCC中的仑伐替尼耐药。
图形摘要
易小结
本研究通过ChIP-seq测序等分析揭示了MASTL/YBX1/PAK4信号轴在肝细胞癌(HCC)仑伐替尼耐药中的关键作用,凸显了ChIP-seq在解析靶向药物耐药机制中的强大优势,为开发新的治疗策略提供了重要依据。
未来类似的研究ChIP-seq 技术可继续发挥关键作用,尤其是在探索癌症耐药机制、发现新的治疗靶点以及研究基因调控网络方面,为癌症治疗提供更多的理论依据和实践指导。
易基因作为领先的表观基因组技术提供商,提供包括ATAC-seq、ChIP-seq技术等在内的多种表观基因组学技术,全面满足不同研究需求,推动个性化医疗的发展。
易基因相关产品拓展性案例展示
- 项目文章 | ChIP-seq等揭示糖皮质激素和TET2共调控促进癌症转移的表观遗传机制
- 项目文章 | Nat Commun:中南大学曾朝阳/熊炜/龚朝建团队利用ChIP-seq等揭示头颈鳞癌免疫逃逸机制
- 项目文章 | ChIP-seq揭示HIV-1感染细胞转录抑制因子Schlafen 5的表观遗传调控机制
- 项目文章|ChIP-seq揭示H3K27me3去甲基化酶在体细胞重编程调控转录机制
- 项目文章|Sci Adv:WGBS+ChIP-seq揭示DNA甲基化在异基因造血干细胞移植后延迟血小板恢复中的关键作用
研究方法
- 细胞系构建:建立仑伐替尼耐药的 PLC/PRF/5-R(PLC-R)和 MHCC97H-R(97H-R)细胞系,为后续研究耐药机制提供模型。
- 临床样本收集:从接受仑伐替尼治疗的 HCC 患者中获取穿刺活检样本,根据影像学评估的肿瘤反应情况,将患者分为部分缓解(Partial response, PR)和耐药(Progressive disease, PD)两组,同时收集手术样本及组织微阵列(Tissue microarrays, TMAs)。
- 转录组和蛋白质组测序分析:对耐药细胞系及其对照细胞系进行转录组测序,筛选出差异表达基因(Differentially expressed genes, DEGs),通过火山图、韦恩图等分析工具,确定MASTL等关键基因在耐药细胞中的异常表达情况,初步揭示耐药相关的分子变化。
- 免疫共沉淀和质谱分析:利用免疫共沉淀(Co-IP)结合质谱(MS)技术,鉴定与MASTL互作蛋白,进一步通过截短突变体构建等实验,明确MASTL 与YBX1的互作位点,为深入研究MASTL功能及其在耐药中的作用机制奠定基础。
- 染色质免疫沉淀测序(ChIP-seq):通过 ChIP-seq 技术检测磷酸化YBX1在基因组上的结合位点,结合 RNA-seq数据,鉴定出PAK4是YBX1的关键转录靶基因,揭示MASTL通过YBX1调控PAK4表达的分子机制,为解析MASTL信号轴在耐药中的作用提供直接证据。
- 动物实验:建立裸鼠皮下移植瘤模型、原位肝癌模型以及患者来源异种移植瘤(PDX)模型,评估MASTL对HCC肿瘤生长和仑伐替尼耐药的作用,同时分析MASTL抑制剂MKI-1单独或联合仑伐替尼对肿瘤生长的抑制效果,为临床应用提供有力的实验依据。
结果图形
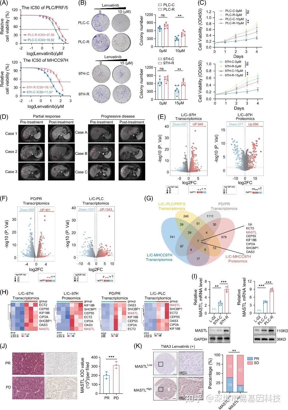
(1)整合转录组和蛋白质组分析揭示MASTL在仑伐替尼耐药HCC细胞系和组织中高表达
研究者们首先通过转录组和蛋白质组测序分析,比较分析了仑伐替尼耐药细胞系(PLC-R和97H-R)与对照细胞系(PLC-C和97H-C)的基因表达和蛋白表达差异。分析结果表明,在97H-R vs 97H-C细胞系、PLC-R vs PLC-C 细胞系以及临床耐药与敏感 HCC 组织样本之间,均存在大量差异表达基因。通过火山图筛选出符合特定条件(|log2FC|>1且p值<0.05)的DEGs,利用韦恩图分析发现7个在不同耐药细胞系和组织样本中均上调的基因,并鉴定出MASTL在多种癌症中与治疗耐药相关,且在本研究的耐药细胞系和组织样本中表达显著升高,进一步通过免疫组化(IHC)分析临床HCC组织样本,揭示MASTL高表达患者中仑伐替尼治疗耐药比例更高,表明MASTL与仑伐替尼耐药密切相关。
图1:整合转录组和蛋白质组分析揭示MASTL在仑伐替尼耐药的HCC细胞系和组织中高表达。
(A)不同浓度仑伐替尼耐药细胞系和对照细胞系中仑伐替尼的IC50值。
(B)经仑伐替尼处理的耐药细胞系和对照细胞系的集落形成实验(n=6)。
(C)经仑伐替尼处理后0、24、48、72和96小时,耐药细胞系和对照细胞系的细胞活性。
(D)在接受仑伐替尼治疗前被评估为疾病进展(PD)或部分缓解(PR)的患者的MRI图像。
(E)火山图显示在97H-R和97H-C细胞系的转录组和蛋白质组测序数据中鉴定的DEGs。
(F)火山图显示在PLC-R和PLC-C细胞系以及组织样本之间转录组测序数据中鉴定的DEGs。
(G)维恩图显示4个队列之间上调的DEGs重叠分析。
(H)热图显示维恩图中的重叠基因。
(I)免疫印迹和qRT-PCR检测在耐药细胞系、对照细胞系以及正常肝细胞系L02中相对MASTL表达。
(J)免疫组化显示在之前PR或PD的HCC组织样本中相对MASTL表达。
(K)TMA3中MASTL的免疫组化染色(左)。通过MASTL表达分析病例比例(右)。
(2)MASTL过表达与HCC患者不良预后相关
基于TCGA数据库分析,揭示MASTL在多种癌症类型(包括HCC)的肿瘤组织中表达高于正常组织。对HCC患者的预后分析表明,MASTL 高表达的患者总生存期(OS)更短,且在本研究收集的HCC样本中,MASTL表达与恶性表型和不良预后相关。多变量逻辑回归分析表明,MASTL过表达是 OS 和无病生存期(DFS)的独立预测因子,强调MASTL作为HCC预后标志物的潜力。
图2:MASTL过表达与HCC患者不良预后相关。
(A)与TCGA数据库中的正常组织相比,不同癌症类型中的MASTL表达水平。
(B)点图显示TCGA队列中50个原发性HCC样本和配对正常样本中MASTL的表达。
(C)分析TCGA数据库中HCC样本中MASTL的表达和患者的总生存期(OS)。
(D)qRT-PCR结果显示5个HCC样本和配对正常组织中MASTL的表达。
(E)通过点图定量的免疫印迹检测5个HCC和配对正常组织中MASTL的表达。
(F)TMA1和TMA2队列中H&E染色和MASTL染色的代表性图像。
(G)TMA1和TMA2队列中以IOD值表示的MASTL表达。
(H-I)基于TMA1和TMA2队列中MASTL表达的总生存期(OS)(H)和无病生存期(DFS)(I)曲线。
(J)区分HCC肿瘤和正常组织的AUROC值。
(K)热图显示按MASTL表达分组的270例HCC患者的临床病理特征。森林图显示通过单变量和多变量Cox比例风险回归分析确定的各种表征对OS和DFS的作用。所有实验至少重复3次。
(3)MASTL促进HCC细胞系对仑伐替尼耐药及体内外肿瘤进展
在多种 HCC 细胞系中检测 MASTL 表达水平,发现其在部分细胞系中表达较高。通过构建 MASTL 过表达和敲低的细胞模型,发现 MASTL 表达变化直接影响 HCC 细胞对仑伐替尼的敏感性(图 3C、D),且 MASTL 过表达增强了细胞的迁移、侵袭和自我更新能力,而敲低则抑制这些过程。在体外实验中,MASTL 过表达的 HCC 细胞形成的克隆数量增多,耐药性增强;而在体内皮下移植瘤模型中,MASTL 敲低显著抑制肿瘤生长和仑伐替尼耐药,过表达则相反(图 3E-H)。此外,RNA 测序分析显示 MASTL 过表达激活了 MAPK 信号通路(图 3I、J),表明 MASTL 可能通过调节该通路促进 HCC 肿瘤进展和耐药。
图3:MASTL促进HCC细胞对仑伐替尼耐药及体内外进展。
(A)免疫印迹(上图)和qRT-PCR(下图)结果展示不同HCC细胞系中相对的MASTL表达。
(B)免疫印迹和qRT-PCR结果展示MHCC97H细胞中MASTL过表达以及SNU449细胞中MASTL敲低的效率。
(C)MASTL过表达、MASTL敲低和对照细胞系中仑伐替尼的IC50值。
(D)MASTL过表达、MASTL敲低和对照细胞系用仑伐替尼处理的集落形成实验。
(E–H)使用指定细胞建立皮下肿瘤模型,小鼠接受仑伐替尼或安慰剂治疗(n=6)。在指定时间点检测肿瘤体积,终点时测量肿瘤重量。
(I)气泡图显示MASTL过表达细胞系的KEGG通路分析结果。
(J)免疫印迹分析显示指定细胞系中MAPK信号通路的激活。
(K)气泡图显示MASTL过表达细胞系的GO:BP分析结果。
(L)差异双向图显示GO:BP分析中“细胞生长调控”基因集里排名前10的上调和下调基因。
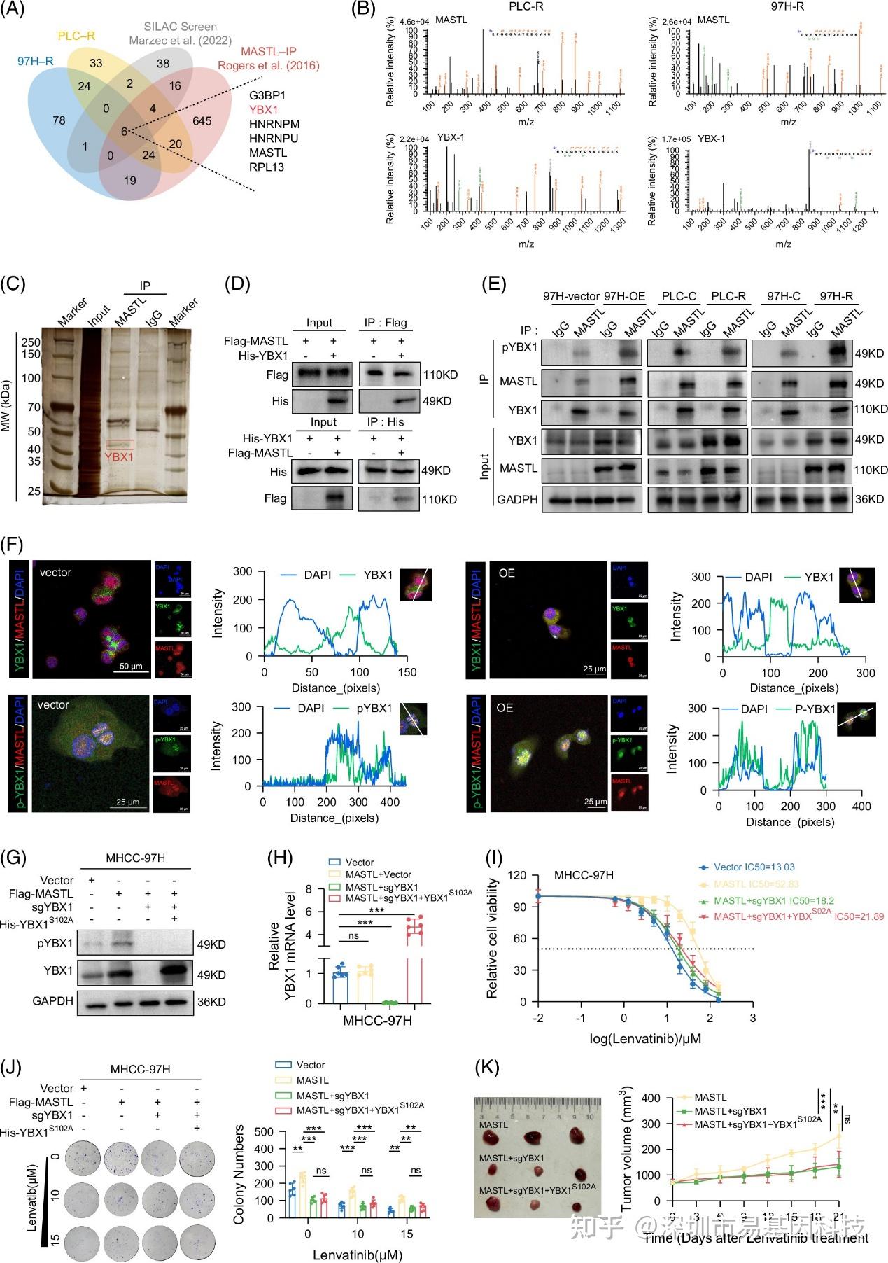
(4)MASTL通过促进YBX1磷酸化和核转运(nuclear translocation)促进仑伐替尼耐药
利用免疫共沉淀和质谱分析,鉴定出MASTL与YBX1存在互作。YBX1是一种在癌症发展中起重要作用的蛋白,其在S102位点的磷酸化形式(p-YBX1)是其活性形式,且该位点位于YBX1的冷休克域(Cold-shock domain, CSD)中。研究发现,MASTL表达变化直接影响p-YBX1水平和YBX1稳定性,且在耐药细胞系中YBX1磷酸化水平显著增加。免疫荧光染色显示MASTL和p-YBX1在MASTL过表达细胞核中强共定位,进一步分析细胞核和细胞质提取物中p-YBX1水平,验证了MASTL过表达与 YBX1在核内的高磷酸化相关,表明MASTL可磷酸化YBX1,且细胞核可能是p-YBX1作用的功能场所。
图4:MASTL通过促进YBX1的磷酸化和核转运促进仑伐替尼耐药。
(A)维恩图显示质谱分析鉴定与MASTL互作的蛋白数据、先前发表的MASTL共免疫沉淀蛋白数据集(在HeLa细胞提取物中)以及通过SILAC筛选预测的MASTL底物之间的重叠蛋白。
(B)液相色谱-串联质谱(LC-MS/MS)分析MASTL与YBX1的结合。
(C)银染法(Silver staining)检测MASTL或IgG抗体免疫沉淀的蛋白。
(D)在转染了指定质粒的HEK293T细胞中MASTL和YBX1的Co-IP分析。
(E)在仑伐替尼耐药细胞(97H-OE、97H-R和PLC-R)和对照细胞中YBX1的相对磷酸化水平Co-IP。(F)在97H-OE和对照细胞中MASTL与YBX1或pYBX1共定位的免疫荧光(IF)染色。
(G-H)免疫印迹(G)和qRT-PCR(H)结果显示YBX1敲除和YBX1S102A突变体在97H-OE细胞中的重新表达效率。
(I)在转染了指定慢病毒的97H-OE细胞中测定仑伐替尼的IC50值。
(J)在转染了指定慢病毒的97H-OE细胞中进行的集落形成实验,显示仑伐替尼耐药性变化。
(K)使用转染了指定慢病毒的MHCC97H细胞建立皮下肿瘤模型,并用仑伐替尼治疗(n=3)。在指定时间点测量肿瘤体积。所有实验至少重复3次。
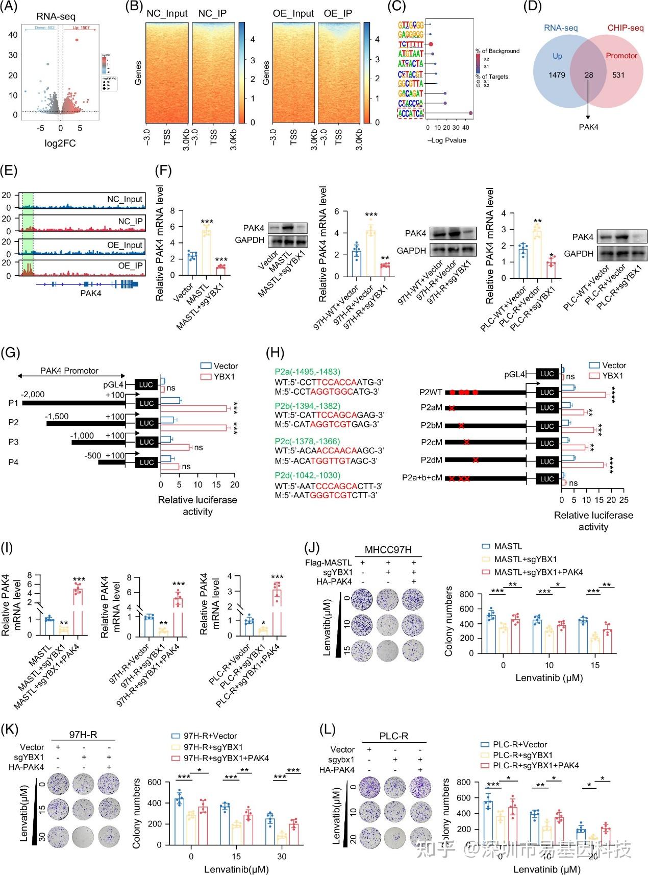
(5)磷酸化YBX1通过转录激活PAK4促进仑伐替尼耐药
为鉴定YBX1的调控靶标,研究者进行RNA-seq测序和ChIP-seq分析。ChIP-seq结果揭示在MASTL过表达的MHCC97H细胞中,YBX1在基因组上结合位点增加,尤其在转录起始位点(TSSs)附近。通过denovo motifs分析确定了与YBX1结合密切相关的motifs,并确定PAK4是YBX1的关键转录靶基因。PAK4在TCGA数据库中与YBX1表达相关,且ChIP-seq结果显示YBX1在PAK4启动子区域显著富集。实验验证了PAK4表达水平在YBX1高磷酸化细胞中高于低磷酸化细胞。进一步通过构建PAK4启动子区域的荧光素酶报告基因质粒,发现PAK4启动子的P1(-2000~+100)和P2(-1500~+100)片段激活荧光素酶报告基因,表明-1500~-1000区域可以促进YBX1介导转录激活。对该区域内的4个潜在YBX1结合位点进行突变分析,发现a、b、c位点的突变会部分降低YBX1介导的PAK4启动子活性,而d位点突变无影响,同时突变a、b、c三个位点则完全消除该活性。此外,在MASTL过表达且YBX1敲低的细胞中恢复PAK4表达,可以部分消除YBX1敲低导致的仑伐替尼耐药性降低,表明PAK4是MASTL介导仑伐替尼耐药的关键效应因子。
图5:磷酸化的YBX1通过转录激活PAK4促进仑伐替尼耐药。
(A)97H-OE和对照细胞的DEGs火山图。
(B)在MASTL过表达和对照MHCC97H细胞中,按信号强度排序的高置信度YBX1结合peaks的ChIP-seq结果热图。
(C)通过ChIP-seq进行YBX1的De novo motifs分析,展示97H-OE细胞中的YBX1结合motif。红色方框突出了置信度最高的motif。
(D)ChIP-seq和RNA-seq数据之间重叠基因的维恩图。
(E)根据ChIP-seq,在MASTL过表达细胞中PAK4启动子区域中YBX1的富集分析。
(F)免疫印迹和qRT-PCR检测PAK4表达。
(G)含有PAK4启动子全长序列或片段的相对荧光素酶活性报告基因。
(H)所示细胞含有PAK4启动子突变序列的相对荧光素酶活性报告基因。实心圆代表潜在的YBX1结合位点,而“X”标记突变的YBX1结合位点。红色字母表示每个结合区域的潜在或突变的YBX1结合序列。
(I)qRT-PCR显示在转染了指定慢病毒的仑伐替尼耐药细胞中PAK4的表达。
(J–L)集落形成实验显示在转染了指定慢病毒后,耐药细胞(包括97H-OE(J)、97H-R(K)和PLC-R(L)细胞)中仑伐替尼耐药性的变化。
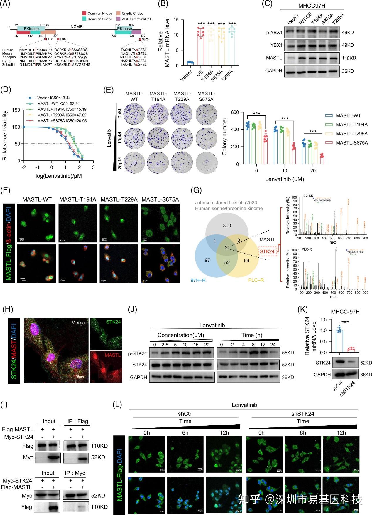
(6)应激诱导的STK24激活导致MASTL在S875位点的磷酸化和激活
MASTL存在多个磷酸化位点,其中T194、T299和S875是常见的保守位点。研究通过构建MASTL位点特异性突变体,发现S875位点突变显著削弱了MASTL对YBX1的磷酸化能力,表明S875对MASTL的激酶活性至关重要。此外S875突变还降低了细胞对仑伐替尼的耐药性,并抑制MASTL核转运。结合之前研究数据,推测STK24可能是负责磷酸化MASTLS875位点的蛋白激酶。免疫荧光染色和免疫共沉淀实验揭示MASTL与STK24之间的结合互作。已有研究表明,STK24在氧化应激和缺氧条件下可被磷酸化激活,而这些条件通常由多种药物诱导。本研究发现,仑伐替尼处理能够以剂量和时间依赖性方式激活STK24磷酸化。免疫荧光染色结果显示,STK24敲低显著降低MASTL核转运效率,提示STK24可能确实影响MASTL S875的磷酸化,进而调控MASTL功能。
图6:应激诱导的STK24激活使MASTL在S875位点磷酸化并激活MASTL功能。
(A)示意图展示MASTL的常见磷酸化位点以及不同物种的MASTL磷酸化位点周围的氨基酸序列。
(B)qRT-PCR结果显示不同MASTL突变质粒在MHCC97H细胞中的效率。
(C)免疫印迹显示不同MASTL突变体的下游效应。
(D)在转染了各种MASTL突变质粒的MHCC97H细胞中检测IC50值。
(E)集落形成实验显示转染了各种MASTL突变质粒的MHCC97H细胞对仑伐替尼耐药性变化。
(F)转染了指定质粒的MHCC97H细胞的免疫荧光(IF)染色。
(G)利用质谱和公共激酶数据库鉴定与MASTL互作的激酶蛋白。
(H)通过IF染色检测MHCC97H细胞中MASTL和STK24的共定位。
(I)在转染了指定质粒的HEK293T细胞中MASTL和STK24的共免疫沉淀(Co-IP)。
(J)免疫印迹显示仑伐替尼处理的STK24磷酸化以剂量和时间依赖性方式激活。
(K)免疫印迹和qRT-PCR检测显示STK24在MHCC97H细胞中敲低的效率。
(L) IF染色显示STK24对MASTL磷酸化的作用。
(7)通过MKI-1靶向MASTL通过抑制 MASTL/YBX1/PAK4 轴增强体内仑伐替尼疗效
在临床样本中,研究者发现与配对正常组织相比,HCC组织中野生型YBX1和磷酸化YBX1水平显著更高,且它们的表达与HCC预后呈负相关。免疫印迹实验表明,MKI-1能够以剂量和时间依赖性方式抑制MASTL/YBX1/PAK4轴激活。为进一步验证MKI-1的体内功能,研究者利用仑伐替尼耐药患者的肿瘤标本构建了PDX模型,并用MKI-1或安慰剂对照进行治疗。结果表明,MKI-1能够减少仑伐替尼耐药肿瘤生长,突出了靶向MASTL克服仑伐替尼耐药的治疗潜力。随后,研究者将MKI-1和PAK4抑制剂CZh226联合使用,以阻断MASTL/YBX1/PAK4轴。研究结果表明,单独使用仑伐替尼效果有限,但MKI-1或CZh226与仑伐替尼联合用药显著抑制了肿瘤生长。且在原位异种移植肿瘤模型中,未观察到体重变化或显著副作用。
此外,为评估MKI-1联合仑伐替尼是否对高MASTL表达的HCC患者有效,研究者利用5例MASTL水平最高的患者肿瘤建立了PDX模型。结果表明,与其它组相比,联合治疗显著抑制了肿瘤生长,表明其作为高MASTL表达HCC患者治疗策略的潜力。总体而言,这些发现表明,将MASTL抑制剂MKI-1与仑伐替尼联合使用在克服异种移植HCC模型中的仑伐替尼耐药方面具有显著效果,表明这种联合治疗可能是一种有前景的治疗策略。
图7:通过靶向MASTL的MKI-1抑制MASTL/YBX1/PAK4轴,增强仑伐替尼在体内疗效。
(A)免疫印迹显示MKI-1以剂量和时间依赖性方式抑制MASTL表达。
(B)疾病进展(PD)患者在仑伐替尼治疗前后的组织样本图像。用于构建PDX小鼠模型。
(C-D)携带PDX肿瘤的NSG小鼠接受MKI-1或对照组治疗。在终点时获得图像(C)和肿瘤重量(D)。
(E–G)97H-R细胞被皮下注射到BALB/c-nu/nu小鼠体内,随后接受仑伐替尼、MKI-1、CZh226或其联合治疗。在指定时间测量肿瘤体积和重量。
(H–L)原位接种97H-R细胞的BALB/c-nu/nu小鼠接受仑伐替尼、MKI-1、CZh226或其联合治疗。展示代表性生物发光成像(BLI)图像(H)、生物发光信号的动态曲线(I)、原位肿瘤图像(J)、肝/体重比(%)(K)和小鼠体重(L)。
(M)仑伐替尼通过激活MASTL/YBX1/PAK4信号轴在HCC细胞中诱导耐药的分子机制示意图。
讨论和启示
本研究深入探讨了仑伐替尼在HCC治疗中耐药的分子机制,揭示了MASTL/YBX1/PAK4信号轴在其中的关键作用。仑伐替尼作为HCC的一线治疗药物,其耐药问题一直是临床面临的重大挑战。本研究通过一系列实验,发现MASTL在耐药HCC细胞和组织中高表达,并与不良预后相关。进一步的研究表明,MASTL通过磷酸化YBX1促进其核转位,进而激活PAK4的转录,从而促进HCC的进展和耐药。此外,研究还发现应激激活的STK24可以磷酸化MASTL的S875位点,激活MASTL的功能。在体内实验中,MASTL抑制剂MKI-1联合仑伐替尼能够显著抑制耐药肿瘤的生长,表明靶向MASTL/YBX1/PAK4信号轴可能是克服仑伐替尼耐药的有效策略。
本研究的结果不仅为理解HCC中仑伐替尼耐药的分子机制提供了新的见解,还为开发新的治疗策略提供了潜在的靶点。MASTL作为一个关键酶,在多种癌症中与治疗耐药相关,其在HCC中的作用机制的揭示为靶向治疗提供了新的方向。此外,本研究还强调了肿瘤异质性在耐药形成中的重要性,提示未来的研究需要进一步探索肿瘤细胞的异质性以及其在耐药中的作用机制。
关于易基因染色质免疫共沉淀测序 (ChIP-seq)
染色质免疫共沉淀(Chromatin Immunoprecipitation,ChIP),是研究体内蛋白质与DNA相互作用的经典方法。将ChIP与高通量测序技术相结合的ChIP-Seq技术,可在全基因组范围对特定蛋白的DNA结合位点进行高效而准确的筛选与鉴定,为研究的深入开展打下基础。
DNA与蛋白质的相互作用与基因的转录、染色质的空间构型和构象密切相关。运用组蛋白特定修饰的特异性抗体或DNA结合蛋白或转录因子特异性抗体富集与其结合的DNA片段,并进行纯化和文库构建,然后进行高通量测序,通过将获得的数据与参考基因组精确比对,研究人员可获得全基因组范围内某种修饰类型的特定组蛋白或转录因子与基因组DNA序列之间的关系,也可对多个样品进行差异比较。
应用方向:
ChIP 用来在空间上和时间上不同蛋白沿基因或基因组定位
- 转录因子和辅因子结合作用
- 复制因子和 DNA 修复蛋白
- 组蛋白修饰和变异组蛋白
技术优势:
- 物种范围广:细胞、动物组织、植物组织、细菌微生物多物种富集经验;
- 微量建库:只需5ng以上免疫沉淀后的DNA,即可展开测序分析;
- 方案灵活:根据不同的项目需求,选择不同的组蛋白修饰特异性抗体。
技术路线:
易基因提供全面的表观基因组学(DNA甲基化、DNA羟甲基化、cfDNA)和表观转录组学(m6A、m5C、m1A、m7G、ac4C、RNA与蛋白互作)、DNA与蛋白互作及染色质开放性技术方案(ChIP-seq、ATAC-seq),更多表观组学或多组学研究可关注易基因公众号、网站、市场微信号等,期待与各位老师开展合作交流。详询易基因:0755-28317900。
参考文献:
Liang BG, Zheng YM, Xu MH, Gao C, Xu WX, Chen JB, Wang SW, Yang GH, Zhao LT, Yuan L, Ma AY, Dong ZN, Cai JB, Sun HC, Ke AW, Shen YH. The MASTL/YBX1/PAK4 axis regulated by stress-activated STK24 triggers lenvatinib resistance and tumor progression in hepatocellular carcinoma. Hepatology. 2025 Jun 2. doi: 10.1097/HEP.0000000000001392.
相关阅读:
1.项目文章 | Nature子刊:ChIP-seq等揭示c-di-AMP与DasR互作以调控细菌生长、发育和抗生素合成
2. 项目文章 | Nat Commun:中南大学曾朝阳/熊炜/龚朝建团队利用ChIP-seq等揭示头颈鳞癌免疫逃逸机制
3. 项目文章 | ChIP-seq等揭示糖皮质激素和TET2共调控促进癌症转移的表观遗传机制
4. 项目文章:ChIP-seq等揭示人畜共患寄生虫弓形虫的蛋白质乳酸化和代谢调控机制
5. 项目集锦 | 易基因近期染色质免疫共沉淀测序(ChIP-seq)研究成果
6. 项目文章 | NAR:ChIP-seq等揭示蛋白质酰基化与c-di-GMP协同调控放线菌发育与抗生素合成机制
7. 项目文章|Plant Physiol:郑州果树所王力荣团队ChIP-seq等揭示桃树需冷量和芽休眠调控的关键基因
8.项目文章|CDD:ChIP+RNA-seq技术揭示NURR1在前列腺癌从基因转录到肿瘤进展中的调控机制
9.项目文章|mBio:ChIP-seq助力揭示AcP依赖性乙酰化修饰网络对放线菌c-di-AMP稳态的调控机制
10.项目文章|Sci Adv:WGBS+ChIP-seq揭示DNA甲基化在异基因造血干细胞移植后延迟血小板恢复中的关键作用
12.项目文章|ChIP-seq及多组学技术揭示长期海洋变暖下硅藻的调控机制:资源分配权衡和表观遗传调控
14. 技术推介 | 染色质免疫共沉淀测序 (ChIP-seq)
浙公网安备 33010602011771号