易基因:微量转录组测序揭示槟榔碱、咖啡因和尼古丁对神经系统转录水平的作用|项目文章
大家好,这里是专注表观组学十余年,领跑多组学科研服务的易基因。
槟榔、咖啡和烟草的主要活性成分分别为槟榔碱(arecoline)、咖啡因(caffeine)和尼古丁(nicotine),这些物质通过影响中枢神经系统产生不同的生理效应,但目前对其神经机制的研究有限,尤其是它们对神经系统的相似性和差异性尚不清楚。伏隔核(nucleus accumbens, NAc)是奖赏回路中的一个关键区域,在调节奖赏、愉悦和动机方面发挥着至关重要的作用,并且在对药物刺激的反应中显著参与。尼古丁通过激活大脑中的多巴胺系统影响奖赏和动机路径,咖啡因通过多种机制增强多巴胺活性,而槟榔碱作为一种强效的毒蕈碱激动剂,能迅速穿过血脑屏障,引发一系列副交感神经系统效应。尽管这三种物质都被认为具有神经刺激作用,但它们对神经系统的具体作用机制和成瘾潜力仍不明确。
近日,海南大学生物医学工程学院周非凡教授团队研究了槟榔碱、咖啡因和尼古丁三种精神活性物质对小鼠伏隔核(nucleus accumbens, NAc)转录水平的影响,并通过行为实验比较其作用。研究使用微量RNA测序(Smart-seq2/scRNA-seq)技术分析基因表达,并结合行为测试和神经免疫组化方法,从转录和行为层面探讨这些物质的效应。相关研究成果以“Comparative effects of arecoline, caffeine, and nicotine on transcription level in the nucleus accumbens of mice”为题发表在《Genomics》期刊。深圳易基因科技为本研究提供微量转录组测序分析技术服务。


研究方法
- 动物模型:使用6-8周龄的C57BL/6J小鼠,分为药物组和对照组,通过腹腔注射给予不同剂量的槟榔碱(0.5 mg/kg)、咖啡因(10 mg/kg)、尼古丁(0.5 mg/kg)或等体积的生理盐水。
- RNA-seq测序:在条件性位置偏爱实验(Conditioned Place Preference, CPP)完成后,提取小鼠NAc组织,进行RNA提取、文库构建和测序分析。
- 行为测试:包括旷场试验和CPP测试,评估小鼠的活动性和对药物的偏爱。
- 免疫荧光染色:检测ΔFosB在NAc的表达,作为成瘾标记。
结果图形
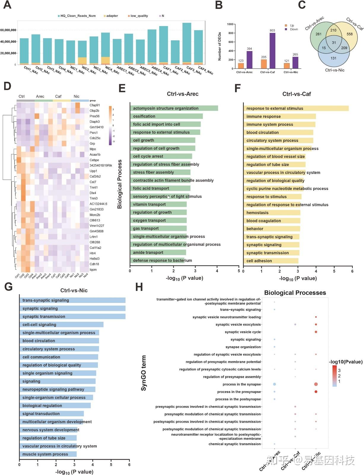
(1)基因表达和生物过程变化

图1:NAc中的差异表达基因(DEGs)和基因本体(GO)富集分析。
A. NAc样本的基因组reads分布;
B. NAc中的DEGs数量;
C. DEGs的维恩分析;
D. 三组中31个共有DEGs的热图;
E-G. 槟榔碱(E)、咖啡因(F)和尼古丁(G)组的前20个GO生物学过程;
H. SynGO生物学过程富集分析。
(2)与神经系统和物质依赖相关的通路变化

图2:差异表达基因(DEGs)的KEGG富集分析。
A. KEGG二级分类注释的条形图;
B. 与神经系统和物质依赖相关的DEGs的维恩分析;
C-E. 槟榔碱(C)、咖啡因(D)和尼古丁(E)组中富集的关于神经系统和物质依赖通路;
F. 三组中可卡因成瘾通路的DEGs维恩分析。
(3)与神经递质相关的基因表达变化

图3:与神经系统和物质依赖通路相关的DEGs互作分析。
A-C. 槟榔碱(A)、咖啡因(B)和尼古丁(C)组中DEGs互作网络图;
D-F. 槟榔碱(D)、咖啡因(E)和尼古丁(F)组中DEGs火山图;
G. 神经递质相关基因热图(橙色:上调,紫色:下调,*P < 0.05 且 |log2FC| > 1)。
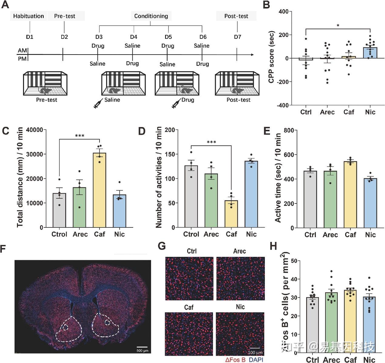
(4)不同精神活性物质对小鼠行为和ΔFosB的影响

图4:行为和免疫荧光变化特征。
A. 条件性位置偏爱(CPP)实验方案;
B. CPP得分(后测减去前测;测试时长,1200秒;n=9-12);
C-E. 旷场试验中的总距离(C)、活动次数(D)和活跃时间(E);
F. 伏隔核(NAc)位置示意图;
G. CPP后测后,用ΔFosB染色的小鼠NAc脑切片的代表性图像(红色:ΔFosB;蓝色:DAPI);
H. 通过ΔFosB+荧光定量检测NAc中ΔFosB+细胞数量(n=4)。
易小结
本研究通过微量转录组测序(Smart-seq2)分析等揭示了槟榔碱、咖啡因和尼古丁均能影响小鼠NAc的基因表达,但它们的作用机制和对神经系统的潜在成瘾性存在差异。尼古丁对神经系统和物质依赖相关功能影响最为显著,而槟榔碱的影响最小。咖啡因和尼古丁在调节突触可塑性方面具有更显著的作用,这可能是它们成瘾潜力较高的原因。行为测试结果支持尼古丁具有较高的成瘾潜力,而槟榔碱和咖啡因的成瘾潜力相对较低。
研究亮点
- 全面的转录组分析:首次使用微量转录组Smart-seq2技术全面比较了槟榔碱、咖啡因和尼古丁对小鼠NAc转录水平的影响。
- 揭示神经机制差异:明确了三种精神活性物质在影响神经系统方面的相似性和差异性,尤其是它们对突触功能和物质依赖相关通路的不同影响。
- 行为学证据:通过行为测试提供了尼古丁具有奖励效应的直接证据,而槟榔碱和咖啡因则未显示出类似效应。
- 成瘾标记物分析:通过免疫荧光染色检测了ΔFosB表达,为评估这些物质的成瘾潜力提供了分子层面的证据。
关于易基因单细胞转录组测序(smart-seq2)
Smart-seq2技术在单细胞水平对带Poly(A)的RNA进行全长转录组扩增及高通量测序,能够满足高灵敏度、低偏好性的cDNA扩增,得到全长转录本,实现高水平的序列模板转换。
Smart-seq2技术有较好的覆盖范围,可检测到稀有转录本,无需额外的专业设备,应用范围较广,可以解决传统 RNA 定量技术在早期胚胎发育、干细胞、癌症、免疫等研究领域中存在的样品量极低或细胞异质性的问题,是在单细胞水平研究基因表达强有力的工具,极大地拓展了RNA-seq 的应用范围。
技术优势:
(1)起始量低:1-1000个细胞或10pg-10ng total RNA即可高效扩增;
(2)转录本覆盖度高:通过双端引物扩增全长cDNA,获得全转录组信息,避免3’端和5’端偏好性,产物完整性好;
(3)检测灵敏度高:大幅度增加了低表达基因的检出量;
(4)碱基分辨率高:可达单碱基分辨率,且可以定位到具体基因的具体转录本;
(5)实验可控:质控点多,可从实验的开端判断细胞状况。
研究方向:
可应用于细胞分子机制中细胞异质性研究,解决因样本量少而无法进行高通量测序的情况。
- 免疫学研究
- 肿瘤及微环境研究
- 绘制组织精细化表达图谱
- 早期胚胎发育
易基因提供全面的表观基因组学(DNA甲基化、DNA羟甲基化、cfDNA)和表观转录组学(m6A、m5C、m1A、m7G、ac4C、RNA与蛋白互作)、DNA与蛋白互作及染色质开放性技术方案(ChIP-seq、ATAC-seq),详询易基因:0755-28317900。

参考文献:
Huang S, Wang X, Zhou F. Comparative effects of arecoline, caffeine, and nicotine on transcription level in the nucleus accumbens of mice. Genomics. 2025 Jan 4;117(2):110986. pii: S0888-7543(25)00002-3. doi: 10.1016/j.ygeno.2025.110986. PubMed PMID: 39761763.
相关阅读:
1、项目文章 | Nat Commun:单细胞转录组测序揭示光疗通过脑膜淋巴系统改善AD和衰老
2、项目文章 | 单细胞DNA甲基化与转录组分析揭示猪生发泡卵母细胞成熟的关键调控机制
3、项目文章 | 单细胞转录组测序(scRNA-seq)揭示猪窦卵泡细胞异质性和通讯模式
4、项目文章 | JGG:单细胞甲基化+转录组多组学分析揭示哺乳期母体低蛋白饮食对子代的跨代传递
5、单细胞转录组测序:Smart-seq2和10X Genomics Chromium怎么选?
6、2024项目文章精选:DNA甲基化、RNA甲基化(m6A/m5C)、ChIP-seq、单细胞转录组、宏基因组|年终盘点
浙公网安备 33010602011771号