易基因:NSUN2/YBX1介导m5C甲基化增强HGH1 mRNA稳定性以促进肿瘤进展 | 科研速递
大家好,这里是专注表观组学十余年,领跑多组学科研服务的易基因。
RNA m5C甲基化已被证明广泛参与肿瘤的发生和发展。作为主要的m5C甲基转移酶,NSUN2在多种肿瘤类型中发挥着关键的调控作用。但NSUN2介导的m5C修饰对乳腺癌(BC)的具体作用仍不清楚。
郑州大学第一附属医院/河南省精准临床药学重点实验室阚全程、田鑫团队和中国科学院大学杨运桂合作阐明NSUN2如何通过m5C修饰调控靶基因HGH1,从而促进乳腺癌发展的分子机制,以及初步明确NSUN2和HGH1在乳腺癌中的生物学作用。相关研究成果于2024年6月6日以“NSUN2/YBX1 promotes the progression of breast cancer by enhancing HGH1 mRNA stability through m5C methylation”为题发表在《Breast Cancer Research》(乳腺癌研究)期刊。

标题:NSUN2/YBX1 promotes the progression of breast cancer by enhancing HGH1 mRNA stability through m5C methylation(NSUN2/YBX1通过m5C甲基化增强HGH1 mRNA稳定性,从而促进乳腺癌进展)
时间:2024.6.6
期刊:《Breast Cancer Research》(乳腺癌研究)(中科院1区,影响因子7.4)
实验方法:RNA BS-seq、RNA-seq、MeRIP-qPCR、RIP-qPCR、蛋白组学、co-IP、Ribo-seq等
本研究收集了5位乳腺癌(BC)患者的肿瘤和邻近组织样本。通过RNA测序(RNA-seq)和单碱基分辨率的m5C甲基化测序(RNA-BisSeq)筛选了BC中的m5C修饰靶标HGH1。并利用甲基化RNA免疫沉淀-qPCR(MeRIP-qPCR)和RNA结合蛋白免疫沉淀-qPCR(RIP-qPCR)鉴定了甲基化分子NSUN2和YBX1通过m5C修饰特异识别并结合HGH1。此外,研究还使用蛋白组学、共免疫沉淀(co-IP)和核糖体测序(Ribo-Seq)探索了HGH1在BC中的生物学作用。
研究结果表明,作为主要的m5C甲基化酶,NSUN2在BC中异常高表达,并提高了RNA m5C的整体水平。而敲低NSUN2表达可以在体外和体内抑制BC进展。结合RNA-seq和RNA-BisSeq分析鉴定出HGH1作为异常m5C修饰的潜在靶标。研究阐明了NSUN2如何通过m5C修饰调控HGH1表达的机制,这一过程包括与YBX1蛋白互作,共同影响mRNA稳定性和蛋白质合成。本研究首次揭示了HGH1与翻译延伸因子EEF2结合,为理解其在调节BC细胞中的转录本翻译效率和蛋白质合成能力方面提供了全面认识。
总之,本研究初步阐明了从转录后修饰到蛋白质翻译过程中NSUN2-YBX1-m5C-HGH1轴的调控作用,揭示了异常RNA m5C修饰在BC中的关键角色,并表明HGH1可能是一个新的表观遗传生物标志物和潜在的治疗靶点。

结果图形
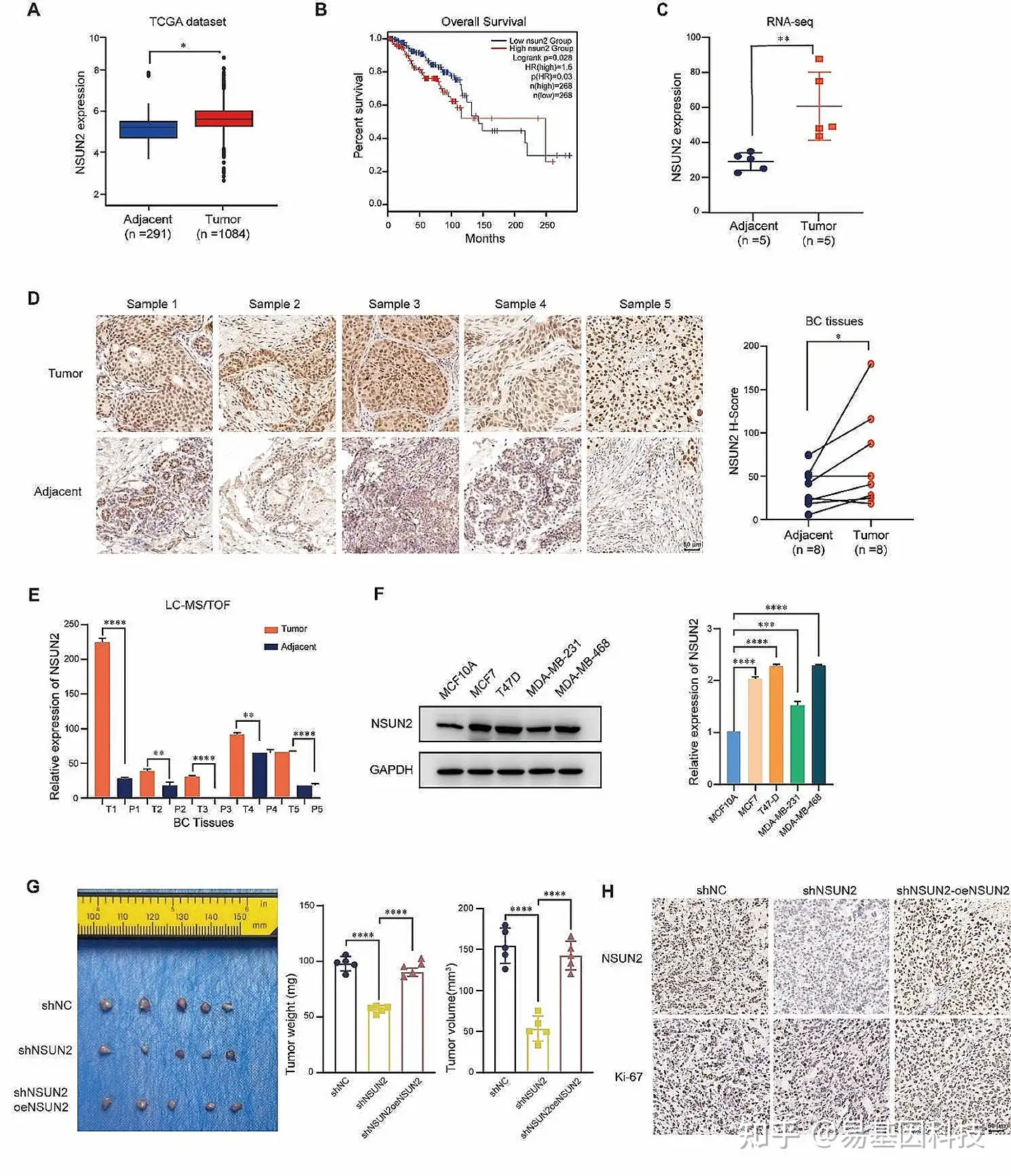
(1)NSUN2高表达与乳腺癌和较差的预后显著相关

图1:乳腺癌样本中NSUN2高表达。
(A)TCGA数据集中正常组织和BC组织中的NSUN2表达。
(B) TCGA数据集中NSUN2表达高或低的BC患者的总生存概率图。
(C) 通过RNA-Seq(n=5)评估的5个临床BC组织和邻近组织样本中的NSUN2 mRNA表达。
(D) NSUN2在5个BC石蜡组织样品中的表达。
(E) 5个BC和相邻组织样品(n=5)中NSUN2 蛋白表达的LC-MS/TOF分析。
(F) 5种乳腺细胞系中 NSUN2 表达的Western blot分析。
(G)将BALB/c小鼠(每组n=5)的乳腺脂肪垫手术注射到含有MCF7细胞的乳腺脂肪垫中,称量肿瘤、测量肿瘤体积。
(H) IHC染色后不同组 CDX 肿瘤中 NSUN2 和 Ki-67 表达的代表性图像。
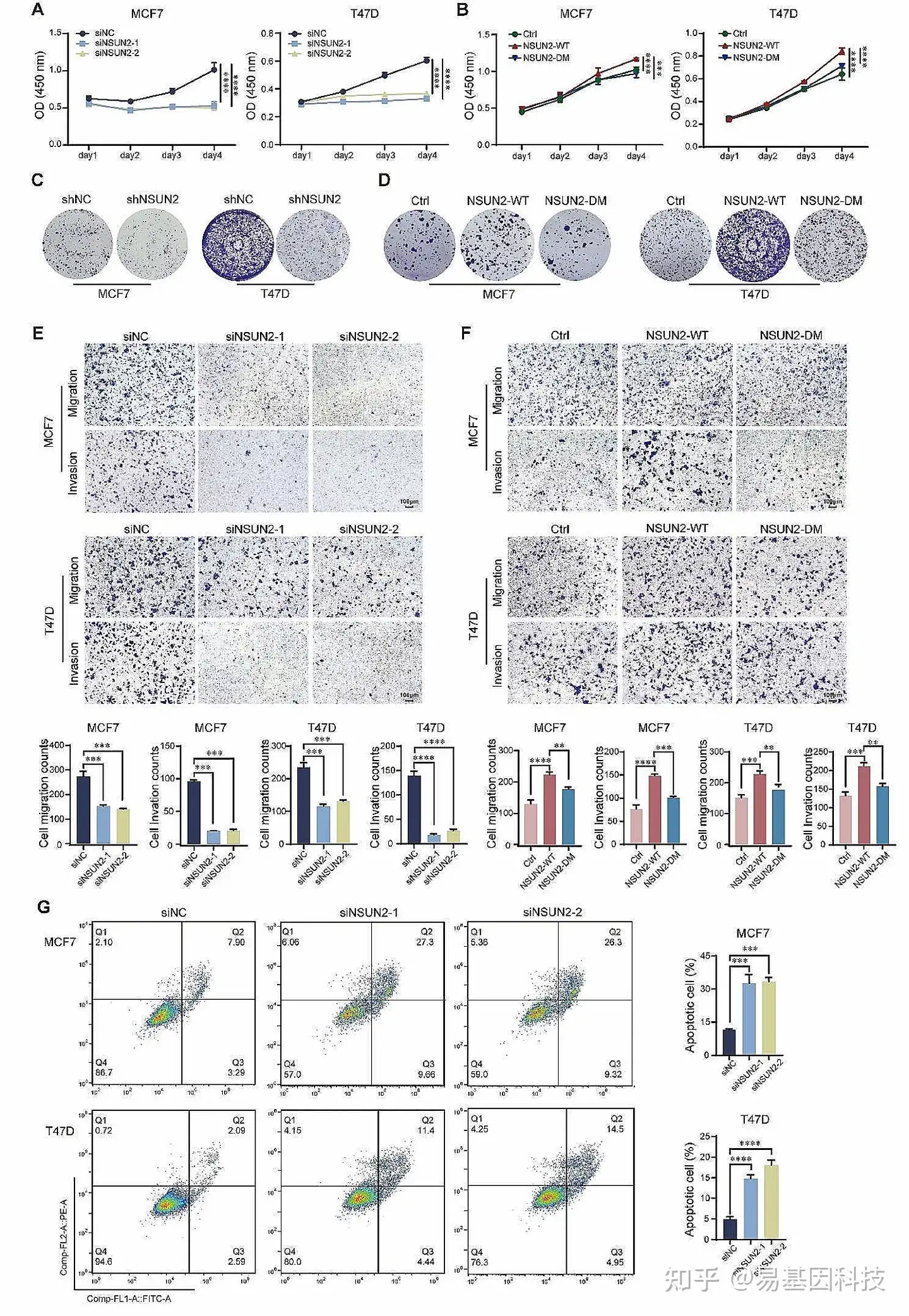
(2)NSUN2通过m5C甲基转移酶活性促进乳腺癌进展

图2:NSUN2通过甲基转移酶活性促进乳腺癌进展。
- 和 (B) 通过CCK-8实验分析敲低NSUN2(NSUN2-knockdown)、野生型NSUN2(NSUN2-WT)或双催化突变型NSUN2(NSUN2-DM)的乳腺癌细胞增殖。
(C) 和 (D) 通过集落形成实验来评估上述三种细胞类型的集落形成能力。
(E) 和 (F) 使用Transwell实验分析敲低NSUN2、NSUN2-WT或NSUN2-DM细胞迁移和侵袭能力。
(G) 使用FITC和PE荧光染料通过流式细胞仪检测NSUN2敲低后的细胞凋亡变化。
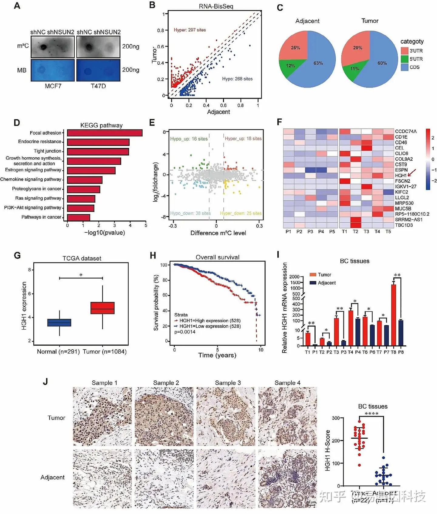
(3)RNA-Seq联合RNA-Bisseq筛选确定HGH1为乳腺癌m5C调控的潜在靶基因
由于NSUN2是负责RNA m5C修饰的主要甲基转移酶,研究人员分析了NSUN2促进乳腺癌(BC)进展机制:从5名临床患者中选择癌症和邻近组织样本,进行转录组分析(RNA-seq)和mRNA m5C亚硫酸盐测序(RNA-BS)。
研究首先证实了NSUN2可以影响mRNA中m5C的整体甲基化水平(图3A)。结合RNA-seq和RNA-BS测序筛选了BC组织中m5C修饰的mRNA靶标。
生物信息学分析发现了与邻近组织相比,BC组织中有297个高甲基化位点和268个低甲基化位点(图3B)。
对mRNA的不同区域中m5C修饰的比例进行统计分析。结果表明5'-UTR区域的m5C位点在肿瘤组织和邻近组织中覆盖相似。值得注意的是,3'-UTR区域在肿瘤组织中的m5C位点更多(图3C)。
KEGG分析揭示了多个与BC相关和肿瘤相关的通路,包括内分泌抵抗、雌激素信号、PI3K-Akt和Ras信号通路,在m5C修饰中富集(图3D)。
甲基化和转录数据联合分析结果表明,在BC组织中,有18个位点呈现高甲基化和高表达,25个位点高甲基化和低表达,16个位点低甲基化和高表达,以及38个位点低甲基化和低表达(图3E)。研究人员推测BC中高甲基化和高表达的基因可能具有较强的致癌作用。
聚类分析热图揭示了18个在BC中高甲基化和高表达的基因(图3F)。其中HGH1和RP5-1180C10.2在80%的肿瘤组织中表现出高甲基化水平,而在80%的邻近组织中表现出低甲基化水平。
由于RP5-1180C10.2是一种已知的lncRNA,研究人员选择HGH1作为18个基因中的重要候选基因。对TCGA数据库的分析也显示HGH1在乳腺肿瘤组织中高表达(图3G)。
此外,高HGH1表达的患者相比低HGH1表达的患者生存率相对较差(图3H)。
研究人员还收集了临床患者样本以验证HGH1在BC组织中的RNA和蛋白水平上都比邻近组织更高表达(图3I和J)。

图3:筛选异常m5C高甲基化基因
- MCF7和T47D细胞的mRNA m5C dot blot实验,无论是否敲低NSUN2。
- 火山图显示肿瘤与邻近组织间差异表达的m5C位点(n=5)。
- BC组织与邻近组织间mRNA区域m5C修饰的不同比例。
- KEGG分析显示,在BC组织中表达水平高的m5C高甲基化基因在致癌信号通路中富集。
- BC组织的RNA-Seq和RNA-BS的靶基因重叠分析(n=5)。
- 聚类分析热图显示不同组织样本的表达水平。
- 数据库分析揭示肿瘤组织中HGH1表达增加。
- 生存分析显示,HGH1高表达组的预后较差。
(I-J) RT-qPCR和IHC实验证明HGH1在BC组织中表达水平高于配对的邻近组织。
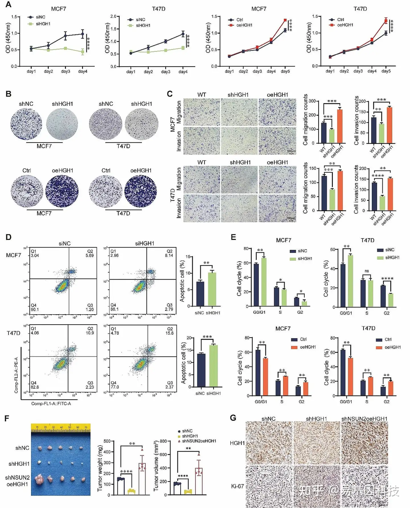
(4)抑制HGH1延缓乳腺癌进展

图4:抑制HGH1可以延缓乳腺癌进展
- CCK-8实验检测siHGH1(HGH1的siRNA)或oeHGH1(HGH1过表达载体)干扰后BC细胞增殖率。
- 检测shHGH1(HGH1的shRNA)或oeHGH1干扰后BC细胞的集落形成能力。
- 评估HGH1敲低后BC细胞的迁移和侵袭能力。
- 使用FITC和PE荧光染料通过流式细胞术检测HGH1敲低后细胞凋亡变化。
- 使用PI荧光染料在HGH1敲低或过表达后,通过流式细胞术检测细胞周期变化。
- 将MCF7细胞注射到BALB/c小鼠乳腺脂肪垫中(每组n=5),测量肿瘤重量和体积。
- 不同组CDX肿瘤中HGH1和Ki-67表达的代表性图像。
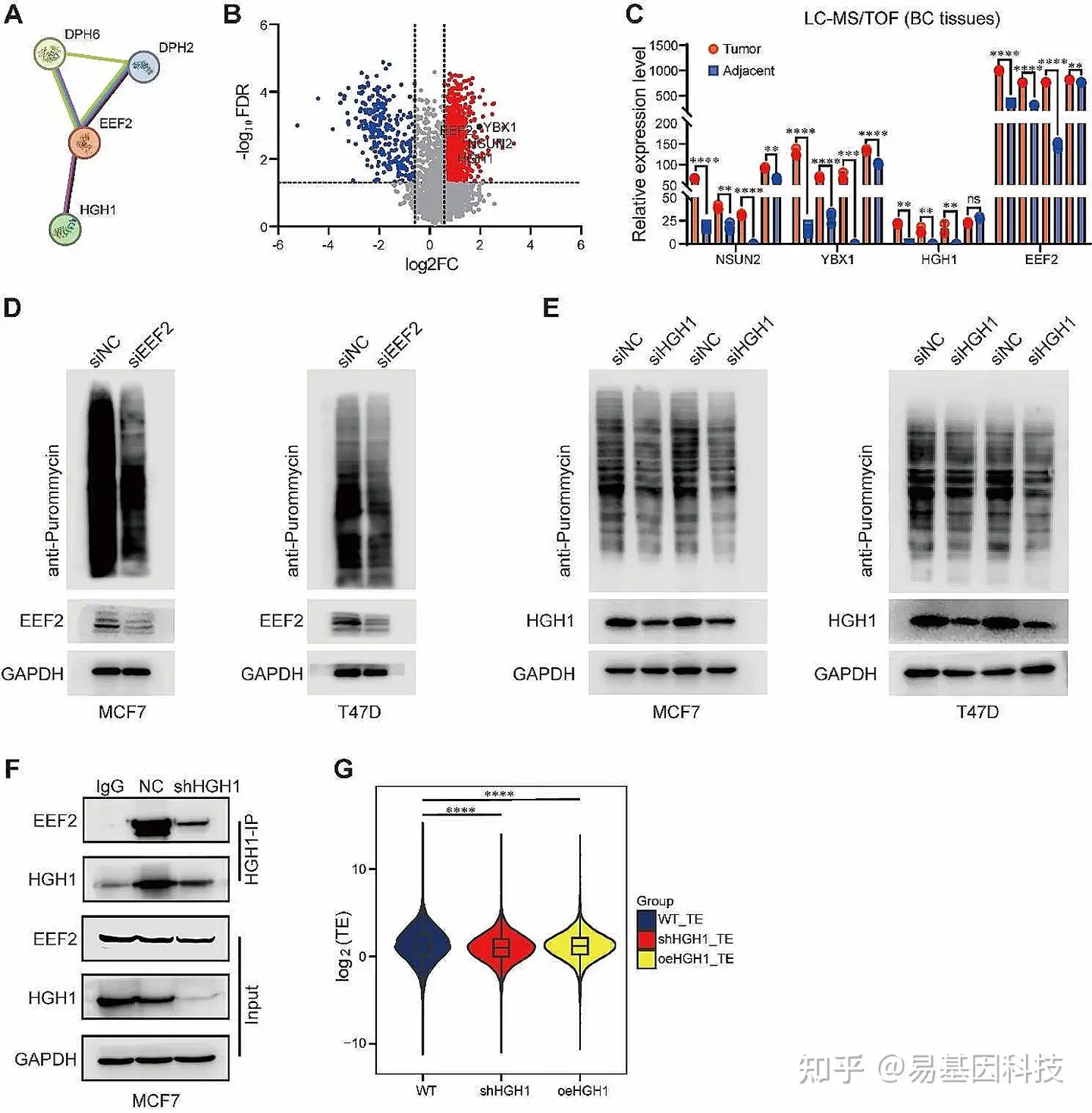
(5)HGH1是BC细胞翻译效率的积极因子

图5:HGH1影响BC细胞的翻译效率
(A) STRING数据库分析显示EEF2和HGH1之间的蛋白质互作关系。
(B-C) LC-MS/TOF数据的火山图和直方图,显示EEF2和HGH1在BC组织中的高表达。
(D-E) 用1µM嘌呤霉素处理用siEEF2(D)或siHGH1(E)转染的MCF7和T47D细胞1小时,并用抗嘌呤霉素抗体对全细胞裂解物进行western blot分析。
(F) 使用过量蛋白质和抗HGH1-蛋白A/G磁性珠复合物从MCF7细胞中捕获EEF2。洗脱后的材料通过western blot和免疫印迹分析,使用抗EEF2、抗HGH1和抗GAPDH抗体进行检测,以确认HGH1和EEF2的互作。
(G) 通过Ribo Seq分析MCF7细胞的平均翻译效率(TE)。
(6)HGH1受NSUN2调控并依赖于其m5C甲基转移酶活性

图6:NSUN2介导的mRNA m5C甲基化促进HGH1表达
(A)RT-qPCR检测NSUN2敲低后BC细胞系中HGH1表达,
(B)使用western blot进一步分析确认蛋白质水平变化。
(C-D) RT-qPCR和Western blot分析用于评估NSUN2-WT或NSUN2-DM过表达后HGH1表达的变化。
(E)MeRIP-qPCR分析BC细胞中NSUN2敲除后HGH1 mRNA上的m5C水平。
(F)NSUN2敲低后检测到对放线菌素D介导的RNA合成抑制和mRNA转录干扰的响应变化。
(G-H) CCK-8实验证实了NSUN2和HGH1对BC细胞增殖的影响及其下游关系。
(I)集落形成实验分析在NSUN2敲低细胞系中恢复下游基因HGH1表达对BC细胞扩增能力的影响。
(7)NSUN2和YBX1通过影响mRNA稳定性和翻译来调控HGH1表达

图7:YBX1是调控乳腺癌中HGH1表达的重要m5C分子
- 使用YBX1抗体进行RIP-qPCR分析NSUN2-WT存在时YBX1与HGH1 mRNA的结合水平。
- 在NSUN2敲低后,检测对放线菌素D介导的RNA合成抑制和mRNA转录干扰的响应变化。
- 在MCF7和T47D细胞系中敲低siYBX1后,使用RT-qPCR检测目标基因HGH1表达水平变化。
- 在细胞中过表达YBX1野生型(WT)和突变型(Mut),检测HGH1表达的变化。
(E-F) 通过Western blot分析敲低或过表达YBX1后蛋白水平的变化。
(G-H) 通过RT-qPCR和Western blot实验检测NSUN2和YBX1对HGH1表达的协同效应。
本研究创新点
本研究的关键创新和发现有两个方面:
(1)NSUN2的甲基转移酶活性对其促进乳腺癌(BC)进展的作用:
验证了NSUN2通过其m5C甲基化酶活性部分依赖性地促进乳腺癌进展。
通过收集患者的乳腺癌组织,并结合RNA-Seq和RNA-BS数据,筛选了m5C修饰位点,并在单碱基分辨率水平上鉴定出关键靶标HGH1。
(2)NSUN2/YBX1依赖于m5C调控HGH1 mRNA稳定性和表达的分子机制:
通过体内外实验阐明了NSUN2/YBX1依赖于m5C来调控HGH1 mRNA的稳定性和表达的分子机制。
不仅验证了HGH1对乳腺癌进展的促进作用,还通过co-IP和Ribo-Seq初步阐明HGH1在人类乳腺癌细胞中的生物学功能。
未来研究方向
- 需要进一步研究NSUN2和m5C修饰靶标是否可以作为乳腺癌亚型的生物标志物。
- 计划进行更深入的分子结构层面研究,探索从转录后修饰到蛋白翻译过程中的潜在机制。
- 扩大临床患者样本数量,收集包括新鲜肿瘤组织、血液和尿液在内的样本,进行多角度联合分析,以验证RNA m5C修饰是否可以作为肿瘤的诊断标记和表观遗传治疗靶点。
关于易基因RNA m5C甲基化测序(RNA-BS)技术
m5C是RNA百余种修饰中研究较多的一种。m5C存在于tRNA上时,可以对翻译进行调节;存在于rRNA上时,可以对核糖体的生物合成进行质控;存在于mRNA上时,则可以影响mRNA的结构、稳定性及翻译过程。
易基因提供适用于不同科研需求的m5C甲基化测序技术:
- 常规mRNA m5C甲基化测序(RNA-BS):
mRNA分离后首先通过亚硫酸盐处理,非甲基化的C转变为U,m5C修饰的碱基保持不变,结合高通量测序,可以对RNA上的每一个C碱基修饰进行定位与定量。 - 常规mRNA +lncRNA m5C甲基化测序(全转录组RNA-BS):
易基因科技建立的升级版m5C RNA甲基化测序服务,去除人rRNA后,剩余RNA经重亚硫酸盐处理后,结合高通量NGS策略,可在全转录组范围内单碱基分辨率地检测基因m5C甲基化修饰分布。

技术优势:
- 高深度:超高深度重亚硫酸盐处理,检测准确性极高;
- 高通量:结合高通量NGS,全转录组范围内检测;
- 单碱基:单碱基分辨率,快速检测和分析RNA中的m5C。
- 高准确:精确的检测mRNA等每一个C碱基的的修饰水平。
研究方向:
- 与m6A甲基化类似,m5C甲基化已被证明与肿瘤、神经系统紊乱、代谢性疾病、病毒感染以及个体发育等密切相关。
- 此外,RNA甲基化(m5C)与人类疾病密切相关,其功能涉及调控干细胞应激、细胞毒性应激、mRNA出核和植物细胞发育及基因表达等方面。
实验策略:

易基因RNA m5C甲基化建库测序示意图
易基因提供全面的表观基因组学(DNA甲基化、DNA羟甲基化)和表观转录组学(m6A、m5C、m1A、m7G)、染色质结构与功能组学技术方案(ChIP-seq、ATAC-seq),详询易基因:0755-28317900.

参考文献:
Zhang X, An K, Ge X, Sun Y, Wei J, Ren W, Wang H, Wang Y, Du Y, He L, Li O, Zhou S, Shi Y, Ren T, Yang YG, Kan Q, Tian X. NSUN2/YBX1 promotes the progression of breast cancer by enhancing HGH1 mRNA stability through m5C methylation. Breast Cancer Res. 2024 Jun 6;26(1):94. pii: 10.1186/s13058-024-01847-0. doi: 10.1186/s13058-024-01847-0. PubMed PMID: 38844963.
相关阅读:
项目文章 | Adv Sci:NSUN2介导m5C修饰代谢重编程促进肿瘤进展 揭示治疗新选择
项目文章 | NAR:RCMS编辑系统在特定细胞RNA位点的靶向m5C甲基化和去甲基化研究