易基因项目文章 | ChIP-seq揭示HIV-1感染细胞转录抑制因子Schlafen 5的表观遗传调控机制
喜报:易基因细胞转录抑制因子ChIP-seq研究成果见刊《Nucleic Acids Research》
2022年6月10日,中国医学科学院药物生物技术研究所丁寄葳副研究员为第一作者、岑山和李晓宇为共同通讯作者的研究团队以“Schlafen 5 suppresses human immunodeficiency virus type 1 transcription by commandeering cellular epigenetic machinery”为题在《核酸研究》(Nucleic Acids Research)杂志发表研究论文。该研究以细胞为研究对象,通过ChIP-seq等分析结果揭示了SLFN5的细胞表观遗传调控机制。
标题:Schlafen 5 suppresses human immunodeficiency virus type 1 transcription by commandeering cellular epigenetic machinery
时间:2022-06-10
期刊:Nucleic Acids Research
影响因子:IF 19.16
技术平台:ChIP-seq、ChIP-qPCR、Co-IP、EMSA等
摘要:
Schlafen-5(SLFN5)是一种干扰素诱导的Schlafen家族蛋白,参与免疫反应和肿瘤发生。然而目前对其抗HIV-1(human immunodeficiency virus type 1 transcription)功能知之甚少。在本研究中,作者鉴定出SLFN5的过表达抑制了HIV-1的复制并降低病毒mRNA水平,而内源性SLFN5缺失则促进HIV-1复制。此外,染色质免疫沉淀 (ChIP-seq+ChIP-qPCR)检测结果表明SLFN5通过与U5-R区域的两个序列结合,显著降低HIV-1长末端重复序列(LTR)的转录活性,从而抑制RNA聚合酶II(RNA PoL II)向转录起始位点募集。诱变研究验证了核定位序列和N-末端1-570氨基酸片段在抑制HIV-1中的重要性。进一步机制研究表明,SLFN5与PRC2复合物、G9a和组蛋白H3的成分互作,从而促进H3K27me2和H3K27me3修饰,导致HIV-1转录沉默。且SLFN5阻断了潜伏期HIV-1激活。总之,本研究结果表明,SLFN5是通过表观遗传调控的HIV-1转录抑制因子,是HIV-1潜伏期的潜在决定因素。

图形摘要:SLFN5抑制HIV-1 LTR转录模型
材料和方法:
结果:
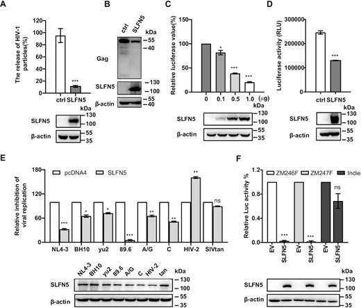
(1)SLFN5 抑制 HIV-1 的复制和病毒蛋白的表达
为了解SLFN5的潜在抗病毒活性,作者用HIV-1 DNA NL4-3luc.RE-和 VSV-G 以及表达 SLFN5 的载体或对照载体 (pcDNA4) 转染HEK293T细胞。通过感染SupT1细胞,然后检测荧光素酶活性来确定培养上清液中 VSVG psedotyped NL4-3luc.RE 衍生病毒 (HIVNL4-3luc ) 的水平。

图1:外源性SLFN5抑制HIV-1复制和Gag表达
为确定内源性SLFN5是否具有抗HIV-1活性,作者使用SLFN5短发夹RNA(shRNA)来产生SLFN5不表达的稳定HeLa细胞系(HeLa-SLFN5 KD)和稳定表达加扰shRNA(HeLa Ctrl)的对照细胞系。然后用HIVNL4-3luc报告病毒感染HeLa-SLFN5 KD和HeLa-Ctrl。

图2:内源性SLFN5抑制HIV-1复制
(2)N-末端结构域(NTD)和核定位序列(NLS)决定SLFN5的抗HIV-1活性
为定义SLFN5抗HIV-1活性的结构域,作者在N端和C端构建了7个SLFN5编码序列片段,分别命名为SLFN5-dC1(1-780aa),SLFN5-dC2(1-570aa),SLFN5-dC3(1-335aa),SLFN5-dN1(150-891aa),SLFN5-dN2(335-891aa),SLFN5-dN3(450-891aa)和SLFN5-dN4(660-891aa)。结果没有一个构建体显示出用野生型SLFN5观察到的抗HIV-1活性。于是作者鉴定了SLFN5的抗病毒活性是否需要核定位序列,证明了核定位序列在SLFN5抑制HIV-1中的重要性。

图3:N-末端结构域和NLS许可SLFN5抑制 HIV-1
(3)SLFN5与HIV-1 LTR结合并抑制LTR驱动的基因表达
鉴于SLFN5的核定位对其抗HIV-1活性至关重要,作者试图确定SLFN5是否抑制HIV-1转录。使用萤火虫荧光素酶报告基因构建体pGL3-LTR(包含上游的HIV-1 LTR序列),以确定SLFN5对LTR驱动的转录影响。作者将此报道质粒与SLFN5或对照载体一起转染到HEK293T细胞中以测试SLFN5是否抑制LTR启动子。

图4:SLFN5通过N-末端结构域特异性结合LTR来抑制基础转录和Tat反式激活HIV-1转录
(4)ChIP揭示SLFN5通过N-末端结构域与HIV-1 U5-R区域结合
据报道,SLFN5在N-末端含有一个DNA结合结构域,这增加了SLFN5通过直接结合抑制HIV LTR启动子的可能性。为验证这一假设,作者使用转染了SLFN5-Myc和NL4-3luc.RE-DNA的HEK293T细胞进行染色质免疫沉淀(ChIP)测定(ChIP-seq和ChIP-qPCR)。
图5:SLFN5通过与U5-R区域结合抑制HIV-1 LTR转录并减少RNA PoL II募集
A. HIV-1基因组示意图。黑线表示B中ChIP-qPCR每对引物的位置。
B. 用NL4-3luc转染HEK293T细胞,然后进行ChIP-seq和ChIP-qPCR。
C. HIV-1 LTR及其指示突变。5′LTR分为U3、R和U5区域。
D. 将pGL3 LTR、pGL3-d614–624、pGL3-d614–624/523–534或pGL3-d614–624TAR与SLFN5或对照载体一起瞬时转染HEK293T细胞。48小时后检测荧光素酶活性。
E. 使用表达SLFN5的核提取物(SLFN5 NEs)、对照核提取物(pcDNA4 NEs)和表达dN2的核提取物(dN2)进行EMSA分析。
F. 用 NL4-3luc.RE- 和SLFN5 DNA或对照载体转染HEK293T细胞,然后进行 ChIP 检测。
G+H. VSV-G-模型NL4-3luc.RE-报告病毒感染HeLa细胞,然后进行ChIP检测。
I. 用0、2、4μg SLFN5-Myc和4μg NL4-3luc.RE-或HIV-2 LTR转染HEK293T细胞。转染后48小时,对细胞进行ChIP检测。
(5)co-IP揭示SLFN5通过募集组蛋白甲基转移酶增加U5-R的抑制性表观遗传标记
为进一步研究SLFN5如何抑制HIV-1 LTR转录,作者进行co-IP和免疫印迹,证实了SLFN5与RBBP7和组蛋白H3的结合。为此,作者测试SLFN5是否改变HIV-1 LTR中的抑制性染色质标记。使用H3K27me2或H3K27me3抗体的ChIP-qPCR实验结果表明,与对照组相比,SLFN5使HIV-1 R-U5区域中的H3K27me2和H3K27me3标记分别增加了1.5倍和2倍。为进一步确定哪种甲基转移酶参与此过程,作者用NL4-3luc.RE-转染HEK293T细胞和SLFN5以及靶向这些甲基转移酶中的每一个的siRNA,检测已知与H3K27me修饰相关的六种组蛋白甲基转移酶,包括Suv39H1/2,G9a/GLP和EZH1/2。数据结果表明,SLFN5通过募集组蛋白甲基转移酶在HIV-1 LTR上沉积抑制性表观遗传标记。

图6:SLFN5 通过沉积H3K27me2和H3K27me3标记并与组蛋白H3互作和修饰复合物来抑制HIV-1转录
(6)SLFN5在HIV潜伏期阻止SAHA和JQ-1激活
此前研究报道,G9a或EZH2的药理学抑制已被证明可重新激活潜伏期的HIV-1,因此作者研究了SLFN5是否在HIV-1潜伏期中发挥作用。数据结果表明SLFN5有助于维持HIV-1潜伏期。

图7:SLFN5破坏潜伏性病毒的激活
结论:
在这项研究中,研究人员发现SLFN5有效抑制HIV-1 LTR定向转录,并在不同程度上抑制不同的HIV-1毒株。机制研究表明,SLFN5靶向HIV-1 LTR、LTR 614-624和TAR中两个不连续但紧密相连的序列,并阻止RNA Pol II与LTR启动子结合。进一步发现SLFN5通过募集G9a和PRC2组蛋白甲基转移酶复合物将H3K27抑制标记物沉积在HIV-1 LTR上。最后,研究人员发现 SLFN5 在两个潜伏感染的细胞模型中抑制了JQ-1 对 HIV 潜伏期的重新激活。研究结果表明,SLFN5 是一种新型的HIV-1转录抑制因子,并通过表观遗传调控维持 HIV 潜伏期。
关于染色质免疫共沉淀测序 (ChIP-seq)
染色质免疫共沉淀(Chromatin Immunoprecipitation,ChIP),是研究体内蛋白质与DNA相互作用的经典方法。将ChIP与高通量测序技术相结合的ChIP-Seq技术,可在全基因组范围对特定蛋白的DNA结合位点进行高效而准确的筛选与鉴定,为研究的深入开展打下基础。
DNA与蛋白质的相互作用与基因的转录、染色质的空间构型和构象密切相关。运用组蛋白特定修饰的特异性抗体或DNA结合蛋白或转录因子特异性抗体富集与其结合的DNA片段,并进行纯化和文库构建,然后进行高通量测序,通过将获得的数据与参考基因组精确比对,研究人员可获得全基因组范围内某种修饰类型的特定组蛋白或转录因子与基因组DNA序列之间的关系,也可对多个样品进行差异比较。
应用方向:
ChIP 用来在空间上和时间上不同蛋白沿基因或基因组定位
- 转录因子和辅因子结合作用
- 复制因子和 DNA 修复蛋白
- 组蛋白修饰和变异组蛋白
技术优势:
- 物种范围广:细胞、动物组织、植物组织、细菌微生物多物种富集经验;
- 微量建库:只需5ng以上免疫沉淀后的DNA,即可展开测序分析;
- 方案灵活:根据不同的项目需求,选择不同的组蛋白修饰特异性抗体。
技术路线:
参考文献:
Jiwei Ding, et al. Schlafen 5 suppresses human immunodeficiency virus type 1 transcription by commandeering cellular epigenetic machinery, Nucleic Acids Research, Volume 50, Issue 11, 24 June 2022, Pages 6137–6153
项目文章|ChIP-seq揭示H3K27me3去甲基化酶在体细胞重编程调控转录机制
DNA-蛋白质互作的检测技术及ChIP-seq实验关键 | 易讲堂
浙公网安备 33010602011771号