肾结石分类和对象检测数据集 肾结石检测超声图像数据集 含 9416 张原始处理图像 适用于肾结石检测模型训练 医学影像资源
引言与背景
在医学影像分析领域,高质量、标注精确的超声图像数据是训练 AI 模型、提升辅助诊断能力的关键。肾结石是泌尿系统常见疾病之一,其早期发现和精确定位对于临床治疗方案的制定至关重要,如选择保守治疗、体外碎石或手术干预。超声检查因其无创、低成本及即时性而成为肾结石检测的首选影像手段。然而,在利用超声影像进行 AI 辅助诊断时,存在以下挑战:
图像类别不均衡
- 临床数据中正常肾脏图像往往占比过高,而含结石图像数量相对较少。
- 类别不均衡可能导致模型偏向学习正常图像特征,从而在实际检测中出现漏诊。
特征标注复杂
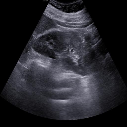
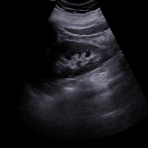
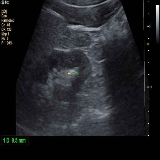
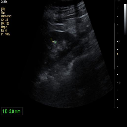
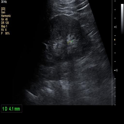
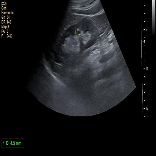
- 肾结石在超声图像中主要表现为高回声点,并伴随声学阴影,其形态和位置因结石大小、位置及患者体质不同而变化。
- 超声图像受采集设备型号、探头参数、成像角度和成像环境影响较大,使得结石特征标注难度增加。
多源数据整合难
- 不同医院、不同扫描中心的设备差异导致图像质量和灰度分布存在差异,影响模型泛化能力。
为解决上述问题,本数据集收录了 9416 张肾脏超声图像 ,包括来自多家医院和扫描中心的原始及处理后图像,其中 正常图像 4414 张、含结石图像 5002 张 。图像分辨率统一为 512×512 像素,格式为 JPEG/PNG。数据集附带详细标注指南,包括高回声点和声学阴影标记规则,可供人工补充标注,确保模型能够学习到关键病灶特征。
| 属性 | 说明 |
|---|---|
| 数据规模 | 9416 张超声图像,其中正常图像 4414 张,含结石图像 5002 张 |
| 图像规格 | 分辨率 512×512 像素,格式 JPEG/PNG |
| 数据来源 | 来自多家医院和扫描中心,采集设备为三星超声机(RS85、HS60、RS80A、HS70A) |
| 许可证 | Creative Commons Attribution 4.0 International(CC BY 4.0) |
| 核心用途 | 肾结石检测模型训练、医学影像分析算法开发 |
| 获取方式 | 肾结石分类和对象检测数据集 肾结石检测超声图像数据集 含 9416 张原始处理图像 适用于肾结石检测模型训练 医学影像资源 - 典枢 |
获取更多数据可以访问 https://dianshudata.com/
数据集优势
高质量图像采集
-
数据集来源于多家三甲医院、专业影像中心及地区医疗机构,涵盖不同地域和患者群体,保证了数据的代表性与多样性。
-
采用三星高端超声机(RS85、HS60、RS80A、HS70A)采集,分辨率统一为 512×512 像素,格式标准化为 JPEG/PNG,确保图像清晰度与一致性。
-
同时包含原始图像与经过优化处理的版本,为算法开发者提供多样化训练素材。
多样化精确标注
-
数据集附带系统化的标注指南,涵盖肾结石超声典型特征的识别方法,包括高回声点、声学阴影、边缘特征等。
-
支持人工标注与算法半自动标注的结合方式,方便开发者在原有数据基础上进行二次标记或个性化标注。
-
标注规则参考临床超声诊断标准,保证了标签的医学准确性和一致性。
广泛适用性
-
可直接用于肾结石检测 AI 模型训练、图像分类、分割及目标检测任务。
-
在医学教育中可作为标准案例库,辅助学生理解肾结石的典型影像表现与诊断思路。
-
在临床研究中可支持结石类型、大小、位置与患者特征的多维度分析,推动精准医学研究进展。
-
同时适用于算法优化、图像增强、特征提取等计算机视觉研究方向。
开放共享与灵活授权
-
采用 Creative Commons Attribution 4.0 International(CC BY 4.0)许可协议,用户可在注明来源的前提下自由共享、改编和再发布数据。
-
开放性设计鼓励多方协作,加速 AI 在医学影像领域的应用落地与技术迭代。
数据应用场景
医学 AI 研发
-
肾结石自动检测系统开发 :基于该数据集,可以训练深度学习模型(如 CNN、U-Net、YOLO 等),自动识别超声图像中的结石特征,包括高回声点、声学阴影及形态特征。
-
辅助诊断工具 :模型可部署在基层医院、社区医疗机构或影像科工作站,辅助医生快速筛查肾结石病例,减少漏诊和误诊,提升诊断效率。
-
多设备、多场景适配 :由于数据来源于多家医院和多型号超声机(RS85、HS60、RS80A、HS70A),训练出的模型在不同设备采集的图像上均具备良好泛化能力。
-
智能预警与临床决策支持 :结合医院信息系统(HIS)和电子病历(EMR),可实现结石检测结果的自动记录与提示,为临床决策提供参考依据。
医学教育
-
超声影像教学资源 :数据集展示了正常肾脏与含结石肾脏的典型超声图像差异,包括结石大小、位置、回声强度及声学阴影特征,适合医学院校用于教学演示和实训。
-
影像特征训练 :学生可以通过标注练习掌握结石检测要点,如高回声点定位、声影判断和结石形态分类,从而提高超声影像诊断能力。
-
案例分析与讨论 :教师可设计基于本数据集的病例讨论和测验,帮助学生理解结石类型与影像表现的关系,培养临床思维和影像分析能力。
临床研究
-
结石类型与影像特征分析 :研究人员可利用数据集对不同类型肾结石(如草酸钙结石、尿酸结石等)的超声表现进行系统分析,包括大小、形态、位置与回声特征之间的关系。
-
算法优化与方法探索 :通过对图像增强、分割、检测算法的训练和验证,探索更精准、高效的结石检测方法,推动影像 AI 技术在肾结石诊断中的应用。
-
多中心临床研究支持 :数据来源覆盖多家医院和扫描中心,适合用于跨机构研究、算法泛化性测试及多设备适配性验证,为大规模临床推广提供数据基础。
-
辅助治疗研究 :结合临床随访数据,可研究结石大小、位置与治疗方案效果的相关性,为个性化治疗提供数据支持。
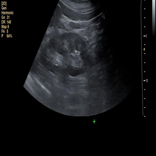
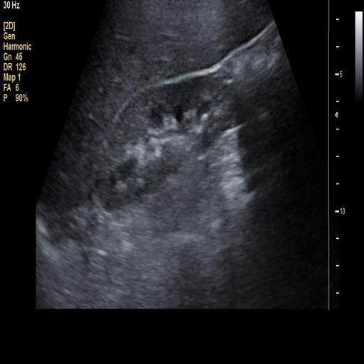
数据样例
正常肾脏样例







结石肾脏样例








浙公网安备 33010602011771号